PPIL4
PPIL4,全稱為肽基脯氨酰異構酶樣4(Peptidylprolyl isomerase-like 4),是一種廣泛表達的蛋白,主要在腎臟中表達,定位于細胞核。該蛋白屬于進化上保守的環肽酶家族,包含一個環肽酶結構域、一個富含賴氨酸的區域、一對二部分核定位序列和一個RNA識別基序(RRM)結構域。PPIL4可能參與轉錄調控,其功能與Wnt信號通路密切相關,特別是與血管生成調節劑和Wnt激活劑JMJD6相互作用,增強Wnt信號通路,從而促進腦血管的生成和完整性。研究表明,PPIL4缺失會導致腦出血、腦血管形態缺陷和Wnt信號受損,而PPIL4突變則與顱內動脈瘤相關。在藥物研發方面,PPIL4已成為潛在的治療靶點,針對其功能的藥物正在開發中,以治療腦血管疾病和顱內動脈瘤。
熱銷產品
Recombinant Human Peptidyl-prolyl cis-trans isomerase-like 4 (PPIL4) (CSB-EP851964HU)
驗證數據
(Tris-Glycine gel) Discontinuous SDS-PAGE (reduced) with 5% enrichment gel and 15% separation gel.
PPIL4 Antibody (CSB-PA851964LA01HU)
驗證數據
Western blot
All lanes: PPIL4 antibody at 4µg/ml
Lane 1: Hela whole cell lysate
Lane 2: Mouse kidney tissue
Lane 3: HepG2 whole cell lysate
Secondary
Goat polyclonal to rabbit IgG at 1/10000 dilution
Predicted band size: 58 kDa
Observed band size: 70 kDa
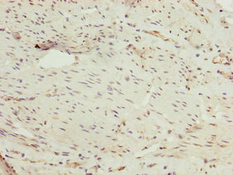
Immunohistochemistry of paraffin-embedded human bladder cancer using CSB-PA851964LA01HU at dilution of 1:100
PPIL4 Antibodies
PPIL4 for Homo sapiens (Human)
| 產品貨號 | 產品名稱 | 種屬反應性 | 應用類型 |
|---|---|---|---|
| CSB-PA018485GA01HU | PPIL4 Antibody | Human,Mouse,Rat | ELISA,WB |
| CSB-PA851964LA01HU | PPIL4 Antibody | Human, Mouse | ELISA, WB, IHC |
PPIL4 Proteins
PPIL4 Proteins for Homo sapiens (Human)
| 產品貨號 | 產品名稱 | 來源 |
|---|---|---|
| CSB-YP851964HU CSB-BP851964HU CSB-MP851964HU CSB-EP851964HU-B |
Recombinant Human Peptidyl-prolyl cis-trans isomerase-like 4 (PPIL4) | Yeast Baculovirus Mammalian cell In Vivo Biotinylation in E.coli |
| CSB-EP851964HU | Recombinant Human Peptidyl-prolyl cis-trans isomerase-like 4 (PPIL4) | E.coli |






