PROCR
PROCR,也稱為蛋白C受體,是一種N-糖基化蛋白,存在于動脈和靜脈的血管內皮細胞中。它能夠與活化蛋白C結合,增強蛋白C的活化,從而在蛋白C途徑中控制血液凝固。PROCR在多種器官組織中標記成體干細胞,如血管內皮、卵巢上皮、胰島等。研究發現,PROCR作為信號轉導的受體分子,在乳腺干細胞的干性維持和自我更新中發揮重要作用。目前,針對PROCR的研究主要集中在罕見病和腫瘤治療領域,藥物研發進展迅速,有望為相關疾病的治療提供新的策略。
熱銷產品
Recombinant Human Endothelial protein C receptor (PROCR), partial (CSB-EP892160HU)
驗證數據
(Tris-Glycine gel) Discontinuous SDS-PAGE (reduced) with 5% enrichment gel and 15% separation gel.
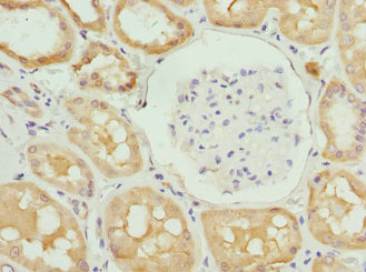
PROCR Antibody (CSB-PA06329A0Rb)
驗證數據
Immunohistochemistry of paraffin-embedded human lung tissue using CSB-PA06329A0Rb at dilution of 1:100
Immunohistochemistry of paraffin-embedded human kidney tissue using CSB-PA06329A0Rb at dilution of 1:100
Western blot
All lanes: PROCR antibody at 2µg/ml + Mouse lung tissue
Secondary
Goat polyclonal to rabbit at 1/10000 dilution
Predicted band size: 27 kDa
Observed band size: 27 kDa
Human soluble endothelial protein C receptor,sEPCR ELISA Kit (CSB-E09901h)
驗證數據
貨號:CSB-E09901h
規格:96T/48T
靈敏度:1.95 ng/mL
檢測范圍:7.8 ng/mL-500 ng/mL
These standard curves are provided for demonstration only. A standard curve should be generated for each set of samples assayed.
PROCR Antibodies
PROCR for Homo sapiens (Human)
| 產品貨號 | 產品名稱 | 種屬反應性 | 應用類型 |
|---|---|---|---|
| CSB-PA06329A0Rb | PROCR Antibody | Human, Mouse | ELISA, WB, IHC |
| CSB-PA018743GA01HU | PROCR Antibody | Human | ELISA,WB,IHC |
| CSB-PA005324 | PROCR Antibody | Human,Mouse,Rat | WB, ELISA |
PROCR Proteins
PROCR Proteins for Bos taurus (Bovine)
| 產品貨號 | 產品名稱 | 來源 |
|---|---|---|
| CSB-YP636710BO CSB-EP636710BO CSB-BP636710BO CSB-MP636710BO CSB-EP636710BO-B |
Recombinant Bovine Endothelial protein C receptor (PROCR), partial | Yeast E.coli Baculovirus Mammalian cell In Vivo Biotinylation in E.coli |
PROCR Proteins for Rattus norvegicus (Rat)
| 產品貨號 | 產品名稱 | 來源 |
|---|---|---|
| CSB-YP709280RA CSB-EP709280RA CSB-BP709280RA CSB-MP709280RA CSB-EP709280RA-B |
Recombinant Rat Endothelial protein C receptor (Procr), partial | Yeast E.coli Baculovirus Mammalian cell In Vivo Biotinylation in E.coli |
PROCR Proteins for Mus musculus (Mouse)
| 產品貨號 | 產品名稱 | 來源 |
|---|---|---|
| CSB-YP717564MO CSB-EP717564MO CSB-BP717564MO CSB-MP717564MO CSB-EP717564MO-B |
Recombinant Mouse Endothelial protein C receptor (Procr), partial | Yeast E.coli Baculovirus Mammalian cell In Vivo Biotinylation in E.coli |
PROCR Proteins for Homo sapiens (Human)
| 產品貨號 | 產品名稱 | 來源 |
|---|---|---|
| CSB-YP892160HU CSB-EP892160HU CSB-BP892160HU CSB-MP892160HU CSB-EP892160HU-B |
Recombinant Human Endothelial protein C receptor (PROCR), partial | Yeast E.coli Baculovirus Mammalian cell In Vivo Biotinylation in E.coli |
| CSB-EP892160HU | Recombinant Human Endothelial protein C receptor (PROCR), partial | E.coli |
PROCR ELISA Kit
PROCR ELISA Kit for Homo sapiens (Human)
| 產品貨號 | 產品名稱 | 樣本類型 | 靈敏度 |
|---|---|---|---|
| CSB-E09901h | Human soluble endothelial protein C receptor,sEPCR ELISA Kit | serum, plasma, tissue homogenates | 1.95 ng/mL |






