PROK1
PROK1,全名為Prokineticin-1,常見別名包括EG-VEGF、PK1、PRK1等。該蛋白主要由內分泌腺(如卵巢、睪丸、腎上腺和胎盤)表達,參與血管內皮細胞的增殖、遷移和窗孔形成。PROK1蛋白在低氧條件下表達增強,并與血管內皮生長因子(VEGF)的表達互補,提示兩者可能協同作用。近年來,PROK1蛋白在多種疾病中的潛在作用引起關注,包括心血管疾病、腫瘤和自身免疫性疾病等。針對PROK1蛋白的藥物研發正在積極進行中,部分創新藥物已進入臨床試驗階段,顯示出良好的治療效果和安全性。例如,一些靶向PROK1蛋白的單克隆抗體藥物被用于治療心血管疾病和腫瘤,而小分子抑制劑則被開發用于調節PROK1蛋白的表達和活性。隨著對PROK1蛋白研究的深入,未來有望開發出更多針對該蛋白的創新藥物,為相關疾病的治療提供新的選擇。
熱銷產品
PROK1 Antibody (CSB-PA018746LA01HU)
驗證數據
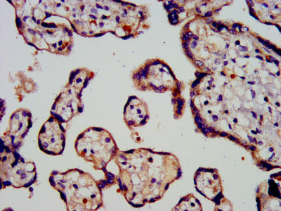
IHC image of CSB-PA018746LA01HU diluted at 1:200 and staining in paraffin-embedded human placenta tissue performed on a Leica BondTM system. After dewaxing and hydration, antigen retrieval was mediated by high pressure in a citrate buffer (pH 6.0). Section was blocked with 10% normal goat serum 30min at RT. Then primary antibody (1% BSA) was incubated at 4°C overnight. The primary is detected by a biotinylated secondary antibody and visualized using an HRP conjugated SP system.
IHC image of CSB-PA018746LA01HU diluted at 1:200 and staining in paraffin-embedded human adrenal gland tissue performed on a Leica BondTM system. After dewaxing and hydration, antigen retrieval was mediated by high pressure in a citrate buffer (pH 6.0). Section was blocked with 10% normal goat serum 30min at RT. Then primary antibody (1% BSA) was incubated at 4°C overnight. The primary is detected by a biotinylated secondary antibody and visualized using an HRP conjugated SP system.
Human prokineticin 1(PROK1/EG-VEGF) ELISA kit (CSB-E04532h)
驗證數據
貨號:CSB-E04532h
規格:96T/48T
靈敏度:0.078 ng/mL
檢測范圍:0.312 ng/mL-20 ng/mL
These standard curves are provided for demonstration only. A standard curve should be generated for each set of samples assayed.
PROK1 Antibodies
PROK1 for Homo sapiens (Human)
| 產品貨號 | 產品名稱 | 種屬反應性 | 應用類型 |
|---|---|---|---|
| CSB-PA018746LA01HU | PROK1 Antibody | Human | ELISA, IHC |
| CSB-PA018746LB01HU | PROK1 Antibody, HRP conjugated | Human | ELISA |
| CSB-PA018746LC01HU | PROK1 Antibody, FITC conjugated | Human | |
| CSB-PA018746LD01HU | PROK1 Antibody, Biotin conjugated | Human | ELISA |
PROK1 Proteins
PROK1 Proteins for Homo sapiens (Human)
| 產品貨號 | 產品名稱 | 來源 |
|---|---|---|
| CSB-YP018746HU CSB-EP018746HU CSB-BP018746HU CSB-MP018746HU CSB-EP018746HU-B |
Recombinant Human Prokineticin-1 (PROK1) | Yeast E.coli Baculovirus Mammalian cell In Vivo Biotinylation in E.coli |
| CSB-AP002671HU | Recombinant Human Prokineticin-1 protein (PROK1) | E.Coli |
PROK1 ELISA Kit
PROK1 ELISA Kit for Homo sapiens (Human)
| 產品貨號 | 產品名稱 | 樣本類型 | 靈敏度 |
|---|---|---|---|
| CSB-E04532h | Human prokineticin 1(PROK1/EG-VEGF) ELISA kit | serum | 0.078 ng/mL |






