PTK7
PTK7,即蛋白酪氨酸激酶7,別名CCK4。它是一種由PTK7基因編碼的非受體型蛋白酪氨酸激酶,主要在發育和免疫反應中發揮作用。PTK7的作用機制涉及與多種蛋白質相互作用,參與細胞極性、遷移和增殖等過程,特別是在胚胎發育和腫瘤細胞的侵襲中。PTK7參與了細胞內多種信號通路的調控,包括Wnt/PCP和經典Wnt信號通路,影響細胞的極性、運動、遷移和侵襲。此外,PTK7的功能異常與某些疾病有關,如腫瘤的發生和發展。
熱銷產品
Recombinant Human Inactive tyrosine-protein kinase 7(PTK7),partial (Active) (CSB-MP622651HU2)
驗證數據
(Tris-Glycine gel) Discontinuous SDS-PAGE (reduced) with 5% enrichment gel and 15% separation gel.
Activity
Measured by its binding ability in a functional ELISA. Immobilized Human PTK7 at 2 μg/ml can bind Anti-PTK7 recombinant antibody (CSB-RA622651MA1HU). The EC50 is 0.3675 - 0.65842 ng/mL.
The purity of PTK7 was greater than 95% as determined by SEC-HPLC
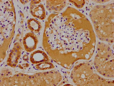
PTK7 Antibody (CSB-PA018996LA01HU)
驗證數據
IHC image of CSB-PA018996LA01HU diluted at 1:100 and staining in paraffin-embedded human kidney tissue performed on a Leica BondTM system. After dewaxing and hydration, antigen retrieval was mediated by high pressure in a citrate buffer (pH 6.0). Section was blocked with 10% normal goat serum 30min at RT. Then primary antibody (1% BSA) was incubated at 4°C overnight. The primary is detected by a biotinylated secondary antibody and visualized using an HRP conjugated SP system.
Human Inactive tyrosine-protein kinase 7(PTK7) ELISA kit (CSB-EL018996HU)
驗證數據
貨號:CSB-EL018996HU
規格:96T/48T
靈敏度:3.125 pg/mL
檢測范圍:12.5 pg/mL-800 pg/mL
These standard curves are provided for demonstration only. A standard curve should be generated for each set of samples assayed.
PTK7 Antibodies
PTK7 for Homo sapiens (Human)
| 產品貨號 | 產品名稱 | 種屬反應性 | 應用類型 |
|---|---|---|---|
| CSB-PA018996LA01HU | PTK7 Antibody | Human | ELISA, IHC |
| CSB-PA018996LC01HU | PTK7 Antibody, FITC conjugated | Human | |
| CSB-PA018996LD01HU | PTK7 Antibody, Biotin conjugated | Human | ELISA |
| CSB-RA622651MA1HU | PTK7 Recombinant Monoclonal Antibody | Human, Macaca fascicularis | ELISA |
PTK7 Proteins
PTK7 Proteins for Homo sapiens (Human)
| 產品貨號 | 產品名稱 | 來源 |
|---|---|---|
| CSB-YP622651HU | Recombinant Human Inactive tyrosine-protein kinase 7 (PTK7), partial | Yeast |
| CSB-EP622651HU CSB-BP622651HU CSB-MP622651HU CSB-EP622651HU-B |
Recombinant Human Inactive tyrosine-protein kinase 7 (PTK7), partial | E.coli Baculovirus Mammalian cell In Vivo Biotinylation in E.coli |
| CSB-MP622651HU2 | Recombinant Human Inactive tyrosine-protein kinase 7(PTK7),partial (Active) | Mammalian cell |
PTK7 Proteins for Mus musculus (Mouse)
| 產品貨號 | 產品名稱 | 來源 |
|---|---|---|
| CSB-YP804364MO | Recombinant Mouse Inactive tyrosine-protein kinase 7 (Ptk7), partial | Yeast |
| CSB-EP804364MO CSB-BP804364MO CSB-MP804364MO CSB-EP804364MO-B |
Recombinant Mouse Inactive tyrosine-protein kinase 7 (Ptk7), partial | E.coli Baculovirus Mammalian cell In Vivo Biotinylation in E.coli |
PTK7 Proteins for Gallus gallus (Chicken)
| 產品貨號 | 產品名稱 | 來源 |
|---|---|---|
| CSB-YP835490CH CSB-EP835490CH CSB-BP835490CH CSB-MP835490CH CSB-EP835490CH-B |
Recombinant Chicken Inactive tyrosine-protein kinase 7 (PTK7), partial | Yeast E.coli Baculovirus Mammalian cell In Vivo Biotinylation in E.coli |
PTK7 ELISA Kit
PTK7 ELISA Kit for Homo sapiens (Human)
| 產品貨號 | 產品名稱 | 樣本類型 | 靈敏度 |
|---|---|---|---|
| CSB-EL018996HU | Human Inactive tyrosine-protein kinase 7(PTK7) ELISA kit | serum, plasma, tissue homogenates, cell lysates | 3.125 pg/mL |






