PVALB
PVALB,即小清蛋白(Parvalbumin)。它是一種低分子量的鈣結合蛋白,分子量大約在10-12.5 kDa之間,結構上與鈣調蛋白和肌鈣蛋白C有關。PVALB在快肌纖維中的含量特別高,但也在其他組織和器官如魚類的大腦和生殖腺中表達。PVALB的作用機制涉及調節肌肉中的鈣離子轉換,特別是在快肌纖維中,它幫助控制肌肉收縮的速度和力度。在生物學意義上,PVALB在多種生物過程中發揮作用,包括神經遞質釋放、肌肉收縮以及作為魚類中的主要過敏原。超過95%的魚類引起的食品過敏是由PVALB蛋白引起的。此外,PVALB還可能作為肥胖治療的潛在新靶點,通過影響M2型巨噬細胞來調節能量消耗和產熱。
熱銷產品
● Recombinant Mouse Parvalbumin alpha (Pvalb)
驗證數據
(Tris-Glycine gel) Discontinuous SDS-PAGE (reduced) with 5% enrichment gel and 15% separation gel.
驗證數據
Immunofluorescence staining of U251 cells with CSB-PA019092HA01HU at 1:166, counter-stained with DAPI. The cells were fixed in 4% formaldehyde, permeabilized using 0.2% Triton X-100 and blocked in 10% normal Goat Serum. The cells were then incubated with the antibody overnight at 4°C. The secondary antibody was Alexa Fluor 488-congugated AffiniPure Goat Anti-Rabbit IgG(H+L).
Western Blot
Positive WB detected in: Mouse brain tissue, Mouse kidney tissue
All lanes: PVALB antibody at 3μg/ml
Secondary
Goat polyclonal to rabbit IgG at 1/50000 dilution
Predicted band size: 13 kDa
Observed band size: 13 kDa
Immunofluorescent analysis of HepG2 cells using CSB-PA019092HA01HU at dilution of 1:100 and Alexa Fluor 488-congugated AffiniPure Goat Anti-Rabbit IgG(H+L)
Immunohistochemistry of paraffin-embedded human breast cancer using CSB-PA019092HA01HU at dilution of 1:100
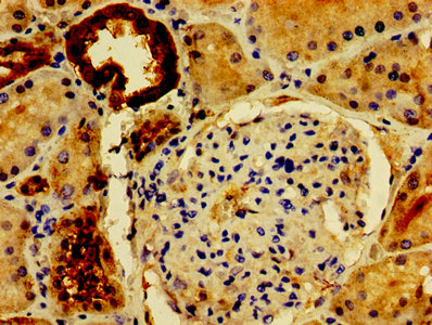
Immunohistochemistry of paraffin-embedded human kidney tissue using CSB-PA019092HA01HU at dilution of 1:100
PVALB Antibodies
PVALB for Homo sapiens (Human)
| 產品貨號 | 產品名稱 | 種屬反應性 | 應用類型 |
|---|---|---|---|
| CSB-PA019092HA01HU | PVALB Antibody | Human, Mouse | ELISA, WB, IHC, IF |
| CSB-PA263723 | PVALB Antibody | Human,Mouse,Rat | ELISA,WB,IHC |
| CSB-PA648142 | PVALB Antibody | Human,Mouse,Rat | ELISA,WB |
PVALB Proteins
PVALB Proteins for Homo sapiens (Human)
| 產品貨號 | 產品名稱 | 來源 |
|---|---|---|
| CSB-YP019092HU CSB-BP019092HU CSB-MP019092HU CSB-EP019092HU-B |
Recombinant Human Parvalbumin alpha (PVALB) | Yeast Baculovirus Mammalian cell In Vivo Biotinylation in E.coli |
| CSB-EP019092HU | Recombinant Human Parvalbumin alpha (PVALB) | E.coli |






