RHBDF2
RHBDF2,全稱為無活性菱形因子2(Rhomoid 5 homolog 2),也被稱為RHBDL6或iRhom2。該蛋白屬于菱形絲氨酸蛋白酶家族,是一類跨膜蛋白,但缺乏蛋白水解活性。RHBDF2主要在細胞膜或內質網膜上發揮作用,通過調控底物蛋白的切割來影響信號傳導途徑,尤其與表皮生長因子受體(EGFR)的激活密切相關。RHBDF2的表達與組織修復、炎癥反應和細胞增殖等過程相關。RHBDF2的突變可能導致TOC(Tylosis with Esophageal Cancer)綜合征,表現為手掌和腳底過度角化以及食管癌風險增加。此外,RHBDF2還與慢性炎癥性疾病和某些癌癥的發展相關。目前,針對RHBDF2相關疾病的研究主要集中在探索其功能異常對信號傳導的影響,以及開發針對RHBDF2的藥物或治療策略。
熱銷產品
RHBDF2 Antibody (CSB-PA744137LA01HU)
驗證數據
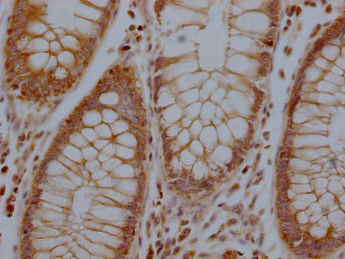
IHC image of CSB-PA744137LA01HU diluted at 1:100 and staining in paraffin-embedded human colon cancer performed on a Leica BondTM system. After dewaxing and hydration, antigen retrieval was mediated by high pressure in a citrate buffer (pH 6.0). Section was blocked with 10% normal goat serum 30min at RT. Then primary antibody (1% BSA) was incubated at 4°C overnight. The primary is detected by a Goat anti-rabbit polymer IgG labeled by HRP and visualized using 0.05% DAB.
Immunofluorescence staining of A549 cells with CSB-PA744137LA01HU at 1:100, counter-stained with DAPI. The cells were fixed in 4% formaldehyde and blocked in 10% normal Goat Serum. The cells were then incubated with the antibody overnight at 4°C. The secondary antibody was Alexa Fluor 488-congugated AffiniPure Goat Anti-Rabbit IgG(H+L).
RHBDF2 Antibodies
RHBDF2 for Homo sapiens (Human)
| 產品貨號 | 產品名稱 | 種屬反應性 | 應用類型 |
|---|---|---|---|
| CSB-PA744137LA11HU | RHBDF2 Antibody | Human | ELISA, IHC |
| CSB-PA744137LA01HU | RHBDF2 Antibody | Human | ELISA, IHC, IF |
| CSB-PA744137LA21HU | RHBDF2 Antibody | Human | ELISA, IF |
| CSB-PA744137LD11HU | RHBDF2 Antibody, Biotin conjugated | Human | ELISA |
| CSB-PA744137LD01HU | RHBDF2 Antibody, Biotin conjugated | Human | ELISA |
| CSB-PA744137LD21HU | RHBDF2 Antibody, Biotin conjugated | Human | ELISA |
| CSB-PA744137LC11HU | RHBDF2 Antibody, FITC conjugated | Human | |
| CSB-PA744137LC01HU | RHBDF2 Antibody, FITC conjugated | Human | |
| CSB-PA744137LC21HU | RHBDF2 Antibody, FITC conjugated | Human | |
| CSB-PA744137LB11HU | RHBDF2 Antibody, HRP conjugated | Human | ELISA |
| CSB-PA744137LB01HU | RHBDF2 Antibody, HRP conjugated | Human | ELISA |
| CSB-PA744137LB21HU | RHBDF2 Antibody, HRP conjugated | Human | ELISA |
RHBDF2 Proteins
RHBDF2 Proteins for Homo sapiens (Human)
| 產品貨號 | 產品名稱 | 來源 |
|---|---|---|
| CSB-YP744137HU CSB-EP744137HU CSB-BP744137HU CSB-MP744137HU CSB-EP744137HU-B |
Recombinant Human Inactive rhomboid protein 2 (RHBDF2), partial | Yeast E.coli Baculovirus Mammalian cell In Vivo Biotinylation in E.coli |






