RIPK3
RIPK3,全稱受體相互作用絲氨酸/蘇氨酸蛋白激酶3,是一種參與細胞死亡調控的重要蛋白。它也被稱為RIP3,屬于絲氨酸/蘇氨酸蛋白激酶家族。RIPK3在細胞死亡過程中發揮著關鍵作用,能夠激活壞死和凋亡這兩種平行的細胞死亡形式。激活的RIPK3會形成一種誘導壞死的復合物,并介導MLKL的磷酸化,促進MLKL定位到質膜并執行程序性壞死,其特征是鈣內流和質膜損傷。此外,RIPK3還可以結合代謝酶GLUL、GLUD1和PYGL,并增強它們的活性,進而增強ROS的產生。
RIPK3主要在胰腺中表達,在心臟、胎盤、肺和腎臟中檢測到表達水平較低。它在結腸癌和肺癌中表達顯著增加。RIPK3參與多種疾病的病理過程,尤其在損傷相關性疾?。ㄈ缧募」K篮腿毖阅X卒中以及細胞過度增殖相關的癌癥)中發揮重要作用。目前已有多種RIPK3抑制劑被逐步研發,并已證明其在多種動物疾病模型(如心衰、心肌缺血/再灌注和腦缺血/再灌注)中發揮保護作用,表明RIPK3有望成為治療相關疾病的潛在靶點。
熱銷產品
Recombinant Human Receptor-interacting serine/threonine-protein kinase 3 (RIPK3) (CSB-EP897497HU)
驗證數據
(Tris-Glycine gel) Discontinuous SDS-PAGE (reduced) with 5% enrichment gel and 15% separation gel.
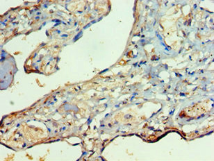
RIPK3 Antibody (CSB-PA897497ESR1HU)
驗證數據
Immunohistochemistry of paraffin-embedded human tonsil tissue using CSB-PA897497ESR1HU at dilution of 1:100
Immunohistochemistry of paraffin-embedded human lung tissue using CSB-PA897497ESR1HU at dilution of 1:100
Immunohistochemistry of paraffin-embedded human placenta tissue using CSB-PA897497ESR1HU at dilution of 1:100
Human Receptor-interacting serine/threonine-protein kinase 3(RIPK3) ELISA kit (CSB-EL019737HU)
驗證數據
貨號:CSB-EL019737HU
規格:96T/48T
靈敏度:0.039 ng/ml
檢測范圍:0.156 ng/ml-10 ng/ml
These standard curves are provided for demonstration only. A standard curve should be generated for each set of samples assayed.
RIPK3 Antibodies
RIPK3 for Homo sapiens (Human)
| 產品貨號 | 產品名稱 | 種屬反應性 | 應用類型 |
|---|---|---|---|
| CSB-PA019737GA01HU | RIPK3 Antibody | Human | ELISA,WB |
| CSB-PA897497ESR1HU | RIPK3 Antibody | Human | ELISA, IHC |
| CSB-PA897497LA01HU | RIPK3 Antibody | Human | ELISA, WB, IHC, IF |
| CSB-PA897497LD01HU | RIPK3 Antibody, Biotin conjugated | Human | ELISA |
| CSB-PA897497LC01HU | RIPK3 Antibody, FITC conjugated | Human | |
| CSB-PA897497LB01HU | RIPK3 Antibody, HRP conjugated | Human | ELISA |
RIPK3 Proteins
RIPK3 Proteins for Mus musculus (Mouse)
| 產品貨號 | 產品名稱 | 來源 |
|---|---|---|
| CSB-YP886403MO | Recombinant Mouse Receptor-interacting serine/threonine-protein kinase 3 (Ripk3) | Yeast |
| CSB-EP886403MO CSB-BP886403MO CSB-MP886403MO CSB-EP886403MO-B |
Recombinant Mouse Receptor-interacting serine/threonine-protein kinase 3 (Ripk3) | E.coli Baculovirus Mammalian cell In Vivo Biotinylation in E.coli |
RIPK3 Proteins for Homo sapiens (Human)
| 產品貨號 | 產品名稱 | 來源 |
|---|---|---|
| CSB-YP897497HU | Recombinant Human Receptor-interacting serine/threonine-protein kinase 3 (RIPK3) | Yeast |
| CSB-EP897497HU | Recombinant Human Receptor-interacting serine/threonine-protein kinase 3 (RIPK3) | E.coli |
| CSB-BP897497HU | Recombinant Human Receptor-interacting serine/threonine-protein kinase 3 (RIPK3) | Baculovirus |
| CSB-MP897497HU CSB-EP897497HU-B |
Recombinant Human Receptor-interacting serine/threonine-protein kinase 3 (RIPK3) | Mammalian cell In Vivo Biotinylation in E.coli |
RIPK3 Proteins for Rattus norvegicus (Rat)
| 產品貨號 | 產品名稱 | 來源 |
|---|---|---|
| CSB-BP897497RA | Recombinant rat Receptor-interacting serine/threonine-protein kinase 3 (Ripk3) | Baculovirus |
RIPK3 ELISA Kit
RIPK3 ELISA Kit for Homo sapiens (Human)
| 產品貨號 | 產品名稱 | 樣本類型 | 靈敏度 |
|---|---|---|---|
| CSB-EL019737HU | Human Receptor-interacting serine/threonine-protein kinase 3(RIPK3) ELISA kit | serum, plasma, tissue homogenates | 0.039 ng/ml |
RIPK3 ELISA Kit for Mus musculus (Mouse)
| 產品貨號 | 產品名稱 | 樣本類型 | 靈敏度 |
|---|---|---|---|
| CSB-EL019737MO | Mouse Receptor-interacting serine/threonine-protein kinase 3(RIPK3) ELISA kit | serum, plasma, tissue homogenates, cell lysates | 11.72 pg/mL |






