ROR1
ROR1,全稱受體酪氨酸激酶樣孤兒受體1,常見別名包括Neurotrophic tyrosine kinase, receptor-related 1 (NTRKR1)等。該蛋白在正常組織中低表達或不表達,但在多種惡性腫瘤中高表達,如慢性淋巴細胞白血病、乳腺癌、卵巢癌、黑色素瘤、肺腺癌等。ROR1蛋白屬于I型膜蛋白,具有酪氨酸激酶活性,參與細胞增殖、分化、遷移等過程。研究表明,ROR1蛋白與腫瘤細胞的生長和轉移密切相關,是腫瘤治療的重要靶點。目前,針對ROR1蛋白的藥物研發正在積極進行中,包括抗體偶聯藥物(ADC)、單克隆抗體、雙特異性抗體以及CAR-T療法等多種類型。其中,華東醫藥研發的ROR1 ADC創新藥注射用HDM2005已獲得美國FDA孤兒藥資格認定,顯示出良好的臨床前景。此外,石藥集團、默沙東等藥企也在積極布局ROR1靶點藥物的研發,預計未來將有更多療效顯著、安全性高的ROR1靶向藥物面世,為腫瘤患者帶來新的治療選擇。
熱銷產品
驗證數據
(Tris-Glycine gel) Discontinuous SDS-PAGE (reduced) with 5% enrichment gel and 15% separation gel.
Activity
Measured by its binding ability in a functional ELISA. Immobilized ROR1 at 2 μg/ml can bind anti-ROR1 antibody(CSB-RA020067A1HU), the EC50 is 0.2450-0.3416 ng/mL.
The purity of ROR1 was greater than 90% as determined by SEC-HPLC
ROR1 Recombinant Monoclonal Antibody (CSB-RA020067A1HU) captured on Protein A Chip can bind Recombinant Human ROR1 protein with an affinity constant of 0.305 nM as detected by MetaSPR Assay (WeSPRTM 200).
ROR1 Recombinant Monoclonal Antibody (CSB-RA020067A1HU)
驗證數據
The Binding Activity of ROR1 with Anti-ROR1 recombinant antibody
Activity: Measured by its binding ability in a functional ELISA. Immobilized Human ROR1(CSB-MP020067HU1d7) at 2 μg/mL can bind Anti-ROR1 recombinant antibody, the EC50 is 0.2450-0.3416 ng/mL.
Untransfected CT26 cells (green line) and transfected Human ROR1 CT26 stable cells (red line) were stained with anti-ROR1 antibody (2μg/1*106cells), washed and then followed by FITC-conjugated anti-Human IgG Fc antibody and analyzed with flow cytometry.
ROR1 Antibody (CSB-PA020067LA01HU)
驗證數據
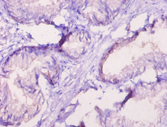
Immunohistochemistry of paraffin-embedded human prostate tissue using CSB-PA020067LA01HU at dilution of 1:10
ROR1 Antibodies
ROR1 for Homo sapiens (Human)
| 產品貨號 | 產品名稱 | 種屬反應性 | 應用類型 |
|---|---|---|---|
| CSB-PA020067LC01HU | ROR1 Antibody, FITC conjugated | Human | |
| CSB-PA020067GA01HU | ROR1 Antibody | Human,Mouse,Rat | ELISA,WB |
| CSB-PA067964 | ROR1 Antibody | Human,Mouse | ELISA,IHC |
| CSB-PA993257 | ROR1 Antibody | Human,Mouse | ELISA,IHC |
| CSB-PA020067LA01HU | ROR1 Antibody | Human | ELISA, IHC |
| CSB-RA020067A1HU | ROR1 Recombinant Monoclonal Antibody | Human | ELISA, FC |
ROR1 Proteins
ROR1 Proteins for Homo sapiens (Human)
| 產品貨號 | 產品名稱 | 來源 |
|---|---|---|
| CSB-YP020067HU | Recombinant Human Tyrosine-protein kinase transmembrane receptor ROR1 (ROR1), partial | Yeast |
| CSB-EP020067HU | Recombinant Human Tyrosine-protein kinase transmembrane receptor ROR1 (ROR1), partial | E.coli |
| CSB-MP020067HU1d7 | Recombinant Human Inactive tyrosine-protein kinase transmembrane receptor ROR1 (ROR1), partial (Active) | Mammalian cell |






