S100B
S100B ,全稱為 S100 蛋白鈣結合蛋白 B,是一種廣泛分布于細胞質和細胞核的蛋白質。它也被稱為 NEF、S100、S100-B、S100beta 等。S100B 蛋白能夠與多種蛋白結合,參與細胞能量代謝、骨架重排、增殖和分化等過程,并在正常生理濃度下對神經元具有營養作用。然而,當 S100B 蛋白濃度升高時,它會通過誘導一氧化氮合酶的活性促使一氧化氮釋放,激活小膠質細胞及星形膠質細胞,從而引發神經炎癥和損傷。S100B 蛋白在缺血性腦卒中、腦出血及蛛網膜下腔出血等腦血管疾病中均會有不同程度地升高,其升高程度與腦神經功能缺損、梗死面積、血腫體積及預后相關。因此,檢測血清及腦脊液中 S100B 蛋白的濃度可以反映腦組織損傷的嚴重程度,也能反映血腦屏障的完整性,在腦血管疾病的診斷和預后評估中具有重要作用。目前,針對 S100B 蛋白的藥物研發尚處于早期階段,但已有研究表明,抑制 S100B 蛋白可以減輕神經炎癥和損傷,為腦血管疾病的治療提供了新的思路。
熱銷產品
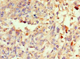
S100B Antibody (CSB-PA020643ESR1HU)
驗證數據
Immunohistochemistry of paraffin-embedded human brain tissue using CSB-PA020643ESR1HU at dilution of 1:100
Immunohistochemistry of paraffin-embedded human melanoma using CSB-PA020643ESR1HU at dilution of 1:100
Human Soluble protein-100B,S-100B ELISA Kit (CSB-E08065h)
驗證數據
貨號:CSB-E08065h
規格:96T/48T
靈敏度:19.5 pg/mL
檢測范圍:78 pg/mL-5000 pg/mL
These standard curves are provided for demonstration only. A standard curve should be generated for each set of samples assayed.
S100B Antibodies
S100B for Homo sapiens (Human)
| 產品貨號 | 產品名稱 | 種屬反應性 | 應用類型 |
|---|---|---|---|
| CSB-PA10677A0Rb | S100B Antibody | Human | ELISA |
| CSB-PA10677B0Rb | S100B Antibody, HRP conjugated | Human | ELISA |
| CSB-PA10677C0Rb | S100B Antibody, FITC conjugated | Human | |
| CSB-PA10677D0Rb | S100B Antibody, Biotin conjugated | Human | ELISA |
| CSB-MA106771A0m | S100B Monoclonal Antibody | Human | ELISA |
| CSB-PA020643GA01HU | S100B Antibody | Human,Mouse,Rat | ELISA,WB,IHC |
| CSB-PA020643ESR1HU | S100B Antibody | Human | ELISA, IHC |
| CSB-PA080270 | S100B Antibody | Human,Mouse,Rat | WB |
| CSB-PA074357 | S100B Antibody | Human,Mouse,Rat | ELISA,IHC |
S100B ELISA Kit
S100B ELISA Kit for Homo sapiens (Human)
| 產品貨號 | 產品名稱 | 樣本類型 | 靈敏度 |
|---|---|---|---|
| CSB-E08065h | Human Soluble protein-100B,S-100B ELISA Kit | serum, plasma, tissue homogenates, cerebrospinal fluid (CSF) | 19.5 pg/mL |






