SLC6A19
SLC6A19,即溶質載體家族6成員19,別名HND、B0AT1。它是一種在人類腸道和腎臟上皮細胞中表達的跨膜蛋白,負責將中性氨基酸從細胞外轉運到細胞內。SLC6A19的作用機制是通過主動轉運,將氨基酸從腸道吸收并在腎臟中重吸收。該基因的突變可能導致Hartnup病,這是一種遺傳性疾病,表現為糙皮病、小腦性共濟失調和精神病等癥狀。SLC6A19在氨基酸穩態、糖尿病和體重控制中也扮演著重要角色。在腸道細胞中的表達和功能依賴于輔助蛋白血管緊張素轉換酶2(ACE2)的存在,ACE2也是SARS-CoV-2的細胞受體之一。
熱銷產品
SLC6A19 Antibody (CSB-PA731656LA01HU)
驗證數據
IHC image of CSB-PA731656LA01HU diluted at 1:300 and staining in paraffin-embedded human small intestine tissue performed on a Leica BondTM system. After dewaxing and hydration, antigen retrieval was mediated by high pressure in a citrate buffer (pH 6.0). Section was blocked with 10% normal goat serum 30min at RT. Then primary antibody (1% BSA) was incubated at 4°C overnight. The primary is detected by a biotinylated secondary antibody and visualized using an HRP conjugated SP system.
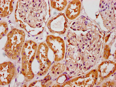
IHC image of CSB-PA731656LA01HU diluted at 1:300 and staining in paraffin-embedded human kidney tissue performed on a Leica BondTM system. After dewaxing and hydration, antigen retrieval was mediated by high pressure in a citrate buffer (pH 6.0). Section was blocked with 10% normal goat serum 30min at RT. Then primary antibody (1% BSA) was incubated at 4°C overnight. The primary is detected by a biotinylated secondary antibody and visualized using an HRP conjugated SP system.
Immunofluorescence staining of Hela cells with CSB-PA731656LA01HU at 1:100, counter-stained with DAPI. The cells were fixed in 4% formaldehyde, permeabilized using 0.2% Triton X-100 and blocked in 10% normal Goat Serum. The cells were then incubated with the antibody overnight at 4°C. The secondary antibody was Alexa Fluor 488-congugated AffiniPure Goat Anti-Rabbit IgG(H+L).
SLC6A19 Antibodies
SLC6A19 for Homo sapiens (Human)
| 產品貨號 | 產品名稱 | 種屬反應性 | 應用類型 |
|---|---|---|---|
| CSB-PA129068 | SLC6A19 Antibody | Human | ELISA,IHC |
| CSB-PA180070 | SLC6A19 Antibody | Human | ELISA,IHC |
| CSB-PA731656LA01HU | SLC6A19 Antibody | Human | ELISA, IHC, IF |
| CSB-PA731656LB01HU | SLC6A19 Antibody, HRP conjugated | Human | ELISA |
| CSB-PA731656LC01HU | SLC6A19 Antibody, FITC conjugated | Human | |
| CSB-PA731656LD01HU | SLC6A19 Antibody, Biotin conjugated | Human | ELISA |
SLC6A19 Proteins
SLC6A19 Proteins for Homo sapiens (Human)
| 產品貨號 | 產品名稱 | 來源 |
|---|---|---|
| CSB-YP731656HU CSB-EP731656HU CSB-BP731656HU CSB-MP731656HU CSB-EP731656HU-B |
Recombinant Human Sodium-dependent neutral amino acid transporter B (0)AT1 (SLC6A19), partial | Yeast E.coli Baculovirus Mammalian cell In Vivo Biotinylation in E.coli |






