SLIT2
SLIT2,即分泌型裂隙蛋白2,別名Slit homolog 2 (Drosophila)。它是一種在生物體內廣泛表達的細胞信號轉導分子,屬于Slit家族成員之一,與Robo家族受體相互作用,在神經發育、血管生成、器官及組織發育以及干細胞的增殖調節等過程中發揮作用。SLIT2的作用機制涉及與其經典受體ROBO家族(ROBO1-4)結合,發揮調控細胞遷移及增殖等多項機能 。SLIT2不僅在神經系統發育中起到精確引導軸突生長和神經元遷移的作用,還在腫瘤進程中發揮著作用,如在胰腺導管腺癌的肝轉移中,SLIT2-ROBO1信號軸促進了腫瘤細胞在肝臟的定植和生長。此外,SLIT2的表達水平在不同的癌癥組織中與癌癥進展相關,其在腫瘤微環境中的作用機制是當前研究的熱點之一。
熱銷產品
驗證數據
The image on the left is immunohistochemistry of paraffin-embedded Human liver cancer tissue using CSB-PA136864(SLIT2 Antibody) at dilution 1/30, on the right is treated with synthetic peptide. (Original magnification: ×200)
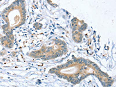
The image on the left is immunohistochemistry of paraffin-embedded Human colon cancer tissue using CSB-PA136864(SLIT2 Antibody) at dilution 1/30, on the right is treated with synthetic peptide. (Original magnification: ×200)
Gel: 6%SDS-PAGE, Lysate: 40 μg, Lane: Mouse bladder tissue, Primary antibody: CSB-PA136864(SLIT2 Antibody) at dilution 1/200, Secondary antibody: Goat anti rabbit IgG at 1/8000 dilution, Exposure time: 1 minute
Human Slit2 ELISA Kit (CSB-E11038h)
驗證數據
貨號:CSB-E11038h
規格:96T/48T
靈敏度:0.195 ng/mL
檢測范圍:0.78 ng/mL-50 ng/mL
These standard curves are provided for demonstration only. A standard curve should be generated for each set of samples assayed.
SLIT2 Antibodies
SLIT2 for Homo sapiens (Human)
| 產品貨號 | 產品名稱 | 種屬反應性 | 應用類型 |
|---|---|---|---|
| CSB-PA021768GA01HU | SLIT2 Antibody | Human,Mouse,Rat | ELISA,WB |
| CSB-PA245341 | SLIT2 Antibody | Human,Mouse,Rat | ELISA,WB,IHC |
| CSB-PA136864 | SLIT2 Antibody | Human,Mouse,Rat | ELISA,WB,IHC |
SLIT2 Proteins
SLIT2 Proteins for Homo sapiens (Human)
| 產品貨號 | 產品名稱 | 來源 |
|---|---|---|
| CSB-YP021768HU CSB-EP021768HU CSB-BP021768HU CSB-EP021768HU-B |
Recombinant Human Slit homolog 2 protein (SLIT2), partial | Yeast E.coli Baculovirus In Vivo Biotinylation in E.coli |
SLIT2 ELISA Kit
SLIT2 ELISA Kit for Homo sapiens (Human)
| 產品貨號 | 產品名稱 | 樣本類型 | 靈敏度 |
|---|---|---|---|
| CSB-E11038h | Human Slit2 ELISA Kit | serum, plasma, tissue homogenates | 0.195 ng/mL |






