SMPD3
SMPD3,全稱為鞘磷脂磷酸二酯酶3,是一種在細胞膜上發揮重要作用的酶。它有多種別名,如中性鞘磷脂酶II。SMPD3的主要功能是參與鞘磷脂的代謝,鞘磷脂是一種重要的脂質分子,與細胞膜的穩定性和信號傳導有關。在肝臟疾病中,如代謝功能障礙相關脂肪性肝炎(MASH),SMPD3的表達和活性異常可能導致脂質代謝紊亂,進而引發炎癥和纖維化。近年來,研究人員發現靶向SMPD3可能成為治療MASH的新策略,目前已有針對SMPD3的雙靶點藥物進入研發階段,顯示出良好的治療前景。
熱銷產品
Recombinant Human Sphingomyelin phosphodiesterase 3 (SMPD3), partial (CSB-EP878920HU1)
驗證數據
(Tris-Glycine gel) Discontinuous SDS-PAGE (reduced) with 5% enrichment gel and 15% separation gel.
SMPD3 Antibody (CSB-PA878920LA01HU)
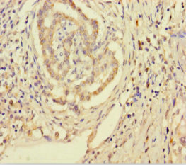
驗證數據
Immunohistochemistry of paraffin-embedded human pancreatic cancer using CSB-PA878920LA01HU at dilution of 1:100
Immunoprecipitating SMPD3 in mouse brain whole cell lysate
Lane 1: Rabbit control IgG (1μg) instead of CSB-PA878920LA01HU in mouse brain whole cell lysate.For western blotting, a HRP-conjugated Protein G antibody was used as the secondary antibody (1/2000)
Lane 2: CSB-PA878920LA01HU (6μg) + Mouse brain whole cell lysate (500μg)
Lane 3: Mouse brain whole cell lysate (10μg)
SMPD3 Antibodies
SMPD3 for Homo sapiens (Human)
| 產品貨號 | 產品名稱 | 種屬反應性 | 應用類型 |
|---|---|---|---|
| CSB-PA878920LA01HU | SMPD3 Antibody | Human, Mouse | ELISA, WB, IHC, IP |
| CSB-PA878920LB01HU | SMPD3 Antibody, HRP conjugated | Human | ELISA |
| CSB-PA878920LC01HU | SMPD3 Antibody, FITC conjugated | Human | |
| CSB-PA878920LD01HU | SMPD3 Antibody, Biotin conjugated | Human | ELISA |
SMPD3 Proteins
SMPD3 Proteins for Homo sapiens (Human)
| 產品貨號 | 產品名稱 | 來源 |
|---|---|---|
| CSB-YP878920HU CSB-EP878920HU CSB-BP878920HU CSB-MP878920HU CSB-EP878920HU-B |
Recombinant Human Sphingomyelin phosphodiesterase 3 (SMPD3) | Yeast E.coli Baculovirus Mammalian cell In Vivo Biotinylation in E.coli |
| CSB-EP878920HU1 | Recombinant Human Sphingomyelin phosphodiesterase 3 (SMPD3), partial | E.coli |






