STAT1
STAT1,即信號轉導與轉錄激活因子1,別名包括CANDF7、IMD31A、IMD31B、IMD31C、ISGF-3、STAT91等。該基因位于2號染色體上,編碼的蛋白質是STAT蛋白家族的成員。STAT1在細胞因子和生長因子的作用下,通過受體相關激酶磷酸化后形成同源或異源二聚體,并轉運到細胞核內,作為轉錄激活因子調控靶基因的表達。STAT1干擾素信號通路,參與調控免疫應答、細胞增殖、凋亡和分化等多種生物學過程。STAT1對于維持機體穩態和抵御病原體感染具有重要作用,同時也在腫瘤抑制中扮演關鍵角色,如通過促進細胞凋亡、抑制細胞增殖等方式抑制膠質瘤等惡性腫瘤的發展。
熱銷產品
STAT1 Recombinant Monoclonal Antibody (CSB-RA989713A0HU)
驗證數據
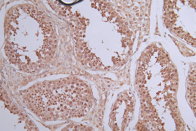
IHC image of CSB-RA989713A0HU diluted at 1:50 and staining in paraffin-embedded human testis tissue performed on a Leica BondTM system. After dewaxing and hydration, antigen retrieval was mediated by high pressure in a citrate buffer (pH 6.0). Section was blocked with 10% normal goat serum 30min at RT. Then primary antibody (1% BSA) was incubated at 4°C overnight. The primary is detected by a Goat anti-rabbit polymer IgG labeled by HRP and visualized using 0.40% DAB.
Immunofluorescence staining of Hela with CSB-RA989713A0HU at 1:25, counter-stained with DAPI. The cells were fixed in 4% formaldehyde and blocked in 10% normal Goat Serum. The cells were then incubated with the antibody overnight at 4°C. The secondary antibody was Alexa Fluor 508-congugated AffiniPure Goat Anti-Rabbit IgG(H+L).
Overlay Peak curve showing HepG2 cells stained with CSB-RA989713A0HU (red line) at 1:50. The cells were fixed in 4% formaldehyde and permeated by 0.2% TritonX-100. Then 10% normal goat serum to block non-specific protein-protein interactions followed by the antibody (1μg/1*106cells) for 45min at 4℃. The secondary antibody used was FITC-conjugated Goat Anti-rabbit IgG(H+L) at 1:200 dilution for 35min at 4℃.Control antibody (green line) was rabbit IgG (1μg/1*106cells) used under the same conditions. Acquisition of >10,000 events was performed.
STAT1 Antibodies
STAT1 for Homo sapiens (Human)
| 產品貨號 | 產品名稱 | 種屬反應性 | 應用類型 |
|---|---|---|---|
| CSB-PA022810GA01HU | STAT1 Antibody | Human,Mouse,Rat | ELISA,WB |
| CSB-PA926759 | Phospho-STAT1 (Tyr701) Antibody | Human,Mouse,Rat | ELISA,WB,IHC |
| CSB-PA225094 | Phospho-STAT1 (Ser727) Antibody | Human,Mouse,Rat | ELISA,WB,IHC,IF |
| CSB-PA825331 | STAT1 (Ab-701) Antibody | Human,Mouse,Rat | ELISA,WB,IHC |
| CSB-PA179323 | STAT1 (Ab-727) Antibody | Human,Mouse,Rat | ELISA,WB,IHC |
| CSB-PA697883 | STAT1 Antibody | Human | ELISA,WB |
| CSB-PA000620 | Phospho-STAT1 (Y701) Antibody | Human,Mouse,Rat,Monkey | WB, IHC, IP, ELISA |
| CSB-PA004167 | STAT1 Antibody | Human,Mouse,Rat | WB, IHC, ELISA |
| CSB-PA004168 | STAT1 Antibody | Human,Mouse,Rat,Monkey | WB, IHC, IP, ELISA |
| CSB-PA004169 | STAT1 Antibody | Human | WB, IHC, ELISA |
| CSB-PA006102 | STAT1 Antibody | Human,Mouse,Rat | WB, ELISA |
| CSB-PA050162 | Phospho-STAT1 (S727) Antibody | Human,Mouse,Rat | WB, IHC, ELISA |
| CSB-PA080236 | STAT1 Antibody | Human,Mouse,Rat | WB, IHC |
| CSB-PA563679 | STAT1 Antibody | Human,Mouse | ELISA,WB,IHC |
| CSB-PA582088 | STAT1 Antibody | Human,Mouse | ELISA,IHC |
| CSB-PA022810LA01HU | STAT1 Antibody | Human | ELISA, IHC |
| CSB-PA022810LB01HU | STAT1 Antibody, HRP conjugated | Human | ELISA |
| CSB-PA022810LC01HU | STAT1 Antibody, FITC conjugated | Human | |
| CSB-PA022810LD01HU | STAT1 Antibody, Biotin conjugated | Human | ELISA |
| CSB-PA022810HA01HU | STAT1 Antibody | Human | ELISA, IHC, IF |
| CSB-PA022810HB01HU | STAT1 Antibody, HRP conjugated | Human | ELISA |
| CSB-PA022810HC01HU | STAT1 Antibody, FITC conjugated | Human | |
| CSB-PA022810HD01HU | STAT1 Antibody, Biotin conjugated | Human | ELISA |
| CSB-RA022810A727phHU | Phospho-STAT1 (S727) Recombinant Monoclonal Antibody | Human | ELISA, WB, IHC, IF |
| CSB-RA989713A0HU | STAT1 Recombinant Monoclonal Antibody | Human | ELISA, IHC, IF, FC |
STAT1 Proteins
STAT1 Proteins for Mus musculus (Mouse)
| 產品貨號 | 產品名稱 | 來源 |
|---|---|---|
| CSB-YP022810MO CSB-EP022810MO CSB-BP022810MO CSB-MP022810MO CSB-EP022810MO-B |
Recombinant Mouse Signal transducer and activator of transcription 1 (Stat1) | Yeast E.coli Baculovirus Mammalian cell In Vivo Biotinylation in E.coli |
STAT1 Proteins for Homo sapiens (Human)
| 產品貨號 | 產品名稱 | 來源 |
|---|---|---|
| CSB-YP022810HU CSB-BP022810HU CSB-MP022810HU CSB-EP022810HU-B |
Recombinant Human Signal transducer and activator of transcription 1-alpha/beta (STAT1) | Yeast Baculovirus Mammalian cell In Vivo Biotinylation in E.coli |
STAT1 Proteins for Sus scrofa (Pig)
| 產品貨號 | 產品名稱 | 來源 |
|---|---|---|
| CSB-YP741715PI CSB-EP741715PI CSB-BP741715PI CSB-MP741715PI CSB-EP741715PI-B |
Recombinant Pig Signal transducer and activator of transcription 1 (STAT1), partial | Yeast E.coli Baculovirus Mammalian cell In Vivo Biotinylation in E.coli |




