SV2A
SV2A,即突觸囊泡蛋白2A,它是一種在中樞神經系統的神經元中特異性表達的膜蛋白。SV2A主要在突觸囊泡上發揮作用,參與調節神經遞質的釋放和囊泡的循環過程,對維持突觸功能至關重要。其作用機制涉及與Ca2+敏感蛋白synaptotagmin-1的相互作用,以及可能的ATP結合和轉運功能,影響突觸前膜的遞質釋放概率和囊泡的備釋放池大小。SV2A還可能是抗癲癇藥物如左乙拉西坦的靶點,通過調節神經遞質釋放來影響神經系統的興奮性平衡。在生物學意義上,SV2A的表達變化與癲癇等神經系統疾病的發生發展相關,是研究神經遞質釋放和相關疾病機制的重要分子。
熱銷產品
Recombinant Bovine Synaptic vesicle glycoprotein 2A (SV2A), partial (CSB-EP022978BO)
驗證數據
(Tris-Glycine gel) Discontinuous SDS-PAGE (reduced) with 5% enrichment gel and 15% separation gel.
驗證數據
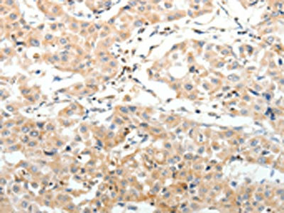
The image on the left is immunohistochemistry of paraffin-embedded Human liver cancer tissue using CSB-PA117413(SV2A Antibody) at dilution 1/25, on the right is treated with synthetic peptide. (Original magnification: ×200)
The image on the left is immunohistochemistry of paraffin-embedded Human lung cancer tissue using CSB-PA117413(SV2A Antibody) at dilution 1/25, on the right is treated with synthetic peptide. (Original magnification: ×200)
SV2A Antibodies
SV2A for Homo sapiens (Human)
| 產品貨號 | 產品名稱 | 種屬反應性 | 應用類型 |
|---|---|---|---|
| CSB-PA117413 | SV2A Antibody | Human,Mouse,Rat | ELISA,IHC |
| CSB-PA022978LA01HU | SV2A Antibody | Human | ELISA, IHC |
| CSB-PA022978LB01HU | SV2A Antibody, HRP conjugated | Human | ELISA |
| CSB-PA022978LC01HU | SV2A Antibody, FITC conjugated | Human | |
| CSB-PA022978LD01HU | SV2A Antibody, Biotin conjugated | Human | ELISA |
SV2A Proteins
SV2A Proteins for Homo sapiens (Human)
| 產品貨號 | 產品名稱 | 來源 |
|---|---|---|
| CSB-YP022978HU CSB-BP022978HU CSB-MP022978HU CSB-EP022978HU-B |
Recombinant Human Synaptic vesicle glycoprotein 2A (SV2A), partial | Yeast Baculovirus Mammalian cell In Vivo Biotinylation in E.coli |






