TIE1
TIE1,全稱為酪氨酸蛋白激酶受體Tie1,是一種跨膜蛋白,在血管生成和穩態中發揮關鍵作用。它屬于免疫球蛋白樣和表皮生長因子同源受體酪氨酸激酶家族,常見別名為TEK。TIE1蛋白通過與TIE2蛋白形成異源二聚體,調節血管內皮細胞的活化和穩定性,對血管的發育和維持至關重要。研究發現,TIE1蛋白在多種生理和病理過程中發揮作用,包括胚胎發育、傷口愈合和腫瘤血管生成。TIE1蛋白的異常表達或功能失調與多種疾病相關,如肝纖維化、膿毒癥和腫瘤。在藥物研發方面,針對TIE1蛋白的靶向藥物正在開發中,旨在治療血管相關疾病和腫瘤。例如,一些研究將TIE1蛋白作為抗血管生成治療的潛在靶點,以抑制腫瘤血管生成和轉移。此外,TIE1蛋白也被用作診斷和預后標志物,如肝纖維化的潛在診斷標志物??傊琓IE1蛋白在血管生物學和疾病治療中具有重要意義,未來有望為相關疾病的治療提供新的策略。
熱銷產品
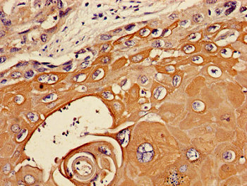
TIE1 Antibody (CSB-PA07369A0Rb)
驗證數據
Immunohistochemistry of paraffin-embedded human ovarian cancer using CSB-PA07369A0Rb at dilution of 1:100
Immunofluorescent analysis of A549 cells using CSB-PA07369A0Rb at dilution of 1:100 and Alexa Fluor 488-congugated AffiniPure Goat Anti-Rabbit IgG(H+L)
Human tyrosine kinase with immunoglobulin-like and EGF-like domains 1,Tie-1 ELISA kit (CSB-E04728h)
驗證數據
貨號:CSB-E04728h
規格:96T/48T
靈敏度:0.23 ng/mL
檢測范圍:0.94 ng/mL-60 ng/mL
These standard curves are provided for demonstration only. A standard curve should be generated for each set of samples assayed.
TIE1 Antibodies
TIE1 for Homo sapiens (Human)
| 產品貨號 | 產品名稱 | 種屬反應性 | 應用類型 |
|---|---|---|---|
| CSB-PA023534GA01HU | TIE1 Antibody | Human,Mouse,Rat | ELISA,WB |
| CSB-PA201956 | TIE1 Antibody | Human | ELISA,WB |
| CSB-PA050264 | TIE1 Antibody | Human,Mouse,Rat | WB, ELISA |
| CSB-PA07369A0Rb | TIE1 Antibody | Human | ELISA, IHC, IF |
| CSB-PA07369B0Rb | TIE1 Antibody, HRP conjugated | Human | ELISA |
| CSB-PA07369C0Rb | TIE1 Antibody, FITC conjugated | Human | |
| CSB-PA07369D0Rb | TIE1 Antibody, Biotin conjugated | Human | ELISA |
TIE1 Proteins
TIE1 Proteins for Homo sapiens (Human)
| 產品貨號 | 產品名稱 | 來源 |
|---|---|---|
| CSB-YP023534HU CSB-EP023534HU CSB-BP023534HU CSB-MP023534HU CSB-EP023534HU-B |
Recombinant Human Tyrosine-protein kinase receptor Tie-1 (TIE1), partial | Yeast E.coli Baculovirus Mammalian cell In Vivo Biotinylation in E.coli |
TIE1 ELISA Kit
TIE1 ELISA Kit for Homo sapiens (Human)
| 產品貨號 | 產品名稱 | 樣本類型 | 靈敏度 |
|---|---|---|---|
| CSB-E04728h | Human tyrosine kinase with immunoglobulin-like and EGF-like domains 1,Tie-1 ELISA kit | serum, plasma, tissue homogenates | 0.23 ng/mL |






