TNFSF12
TNFSF12全稱為腫瘤壞死因子超家族成員12,常被稱為TWEAK或APO3L。這一蛋白廣泛表達于免疫細胞中,通過與細胞表面受體FN14結合,觸發炎癥反應、細胞增殖或凋亡,并參與調控組織修復、血管生成及免疫調節等過程。研究發現,其在慢性炎癥性疾病中異常活躍,例如系統性紅斑狼瘡、類風濕性關節炎患者體內TWEAK水平顯著升高。此外,TNFSF12與腫瘤微環境密切相關,可促進某些癌癥的侵襲轉移,同時與神經退行性疾病如多發性硬化、阿爾茨海默病的病理進展存在關聯。
近年來,針對TWEAK-FN14軸的治療策略成為研究熱點。例如,單克隆抗體類藥物通過阻斷兩者結合,已在動物模型中顯示出抑制腫瘤生長和減輕炎癥損傷的效果。部分小分子抑制劑也進入臨床前研究階段,嘗試用于治療自身免疫性疾病和纖維化病癥。其在心血管疾病中的作用存在爭議,既有研究提示可能加重動脈粥樣硬化,也有證據表明適度表達可促進血管再生,這種雙重特性使藥物研發需精準把控干預時機與劑量。
熱銷產品
驗證數據
(Tris-Glycine gel) Discontinuous SDS-PAGE (reduced) with 5% enrichment gel and 15% separation gel.
TNFSF12 Antibody (CSB-PA023987ESR1HU)
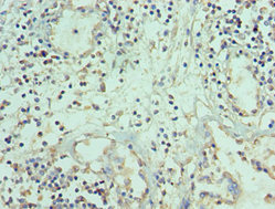
驗證數據
Immunohistochemistry of paraffin-embedded human prostate tissue using CSB-PA023987ESR1HU at dilution of 1:100
Immunohistochemistry of paraffin-embedded human epityphlon tissue using CSB-PA023987ESR1HU at dilution of 1:100
TNFSF12 Antibodies
TNFSF12 for Homo sapiens (Human)
| 產品貨號 | 產品名稱 | 種屬反應性 | 應用類型 |
|---|---|---|---|
| CSB-PA023987GA01HU | TNFSF12 Antibody | Human,Mouse,Rat | ELISA |
| CSB-PA023987ESR1HU | TNFSF12 Antibody | Human | ELISA, IHC |
| CSB-PA152148 | TNFSF12 Antibody | Human,Mouse | ELISA,WB,IHC,IF |
| CSB-PA004351 | TNFSF12 Antibody | Human,Mouse | WB, IHC, IF, ELISA |
| CSB-PA023987LA01HU | TNFSF12 Antibody | Human | ELISA, IHC, IF |
| CSB-PA023987LD01HU | TNFSF12 Antibody, Biotin conjugated | Human | ELISA |
TNFSF12 Proteins
TNFSF12 Proteins for Homo sapiens (Human)
| 產品貨號 | 產品名稱 | 來源 |
|---|---|---|
| CSB-YP023987HU CSB-BP023987HU CSB-MP023987HU CSB-EP023987HU-B |
Recombinant Human Tumor necrosis factor ligand superfamily member 12 (TNFSF12), partial | Yeast Baculovirus Mammalian cell In Vivo Biotinylation in E.coli |
| CSB-CF023987HU(A4) | Recombinant Human Tumor necrosis factor ligand superfamily member 12 (TNFSF12) | in vitro E.coli expression system |
| CSB-EP023987HU | Recombinant Human Tumor necrosis factor ligand superfamily member 12 (TNFSF12), partial | E.coli |
TNFSF12 ELISA Kit
TNFSF12 ELISA Kit for Homo sapiens (Human)
| 產品貨號 | 產品名稱 | 樣本類型 | 靈敏度 |
|---|---|---|---|
| CSB-E16492h | Human soluble tumor necrosis factor-like weak inducer of apoptosis (sTWEAK)ELISA Kit | serum, plasma, tissue homogenates | 0.078 ng/ml |






