TOP2A
TOP2A,即DNA拓撲異構酶IIα,別名DNA topoisomerase IIα。它是一種由TOP2A基因編碼的酶,廣泛存在于真核細胞中,主要參與DNA復制、修復和轉錄過程中的DNA超螺旋的調控。TOP2A的作用機制是通過切割和重新連接DNA的一條鏈,消除DNA超螺旋和纏結,從而調節DNA的拓撲結構。TOP2A在細胞周期中發揮作用,特別是在S期和G2期,對DNA的合成和修復至關重要。TOP2A在生物學上的意義非常廣泛,它不僅參與了DNA的正常代謝過程,而且與多種疾病的發生發展密切相關。TOP2A的異常表達或功能失調與某些癌癥的發生有關,例如前列腺癌、乳腺癌和膀胱癌等。TOP2A也是一些抗癌藥物,如蒽環類抗生素和喜樹堿類化合物的靶點,這些藥物通過抑制TOP2A的活性來阻止腫瘤細胞的增殖。因此,TOP2A是癌癥治療中的一個潛在靶點,針對TOP2A的藥物開發和研究對于癌癥治療具有重要意義 。
熱銷產品
TOP2A Recombinant Monoclonal Antibody (CSB-RA696677A0HU)
驗證數據
Western Blot
Positive WB detected in: Hela whole cell lysate, Jurkat whole cell lysate, K562 whole cell lysate, NIH/3T3 whole cell lysate
All lanes: TOP2A antibody at 1:1500
Secondary
Goat polyclonal to rabbit IgG at 1/50000 dilution
Predicted band size: 175, 178, 179, 183 kDa
Observed band size: 175 kDa
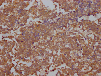
IHC image of CSB-RA696677A0HU diluted at 1:100 and staining in paraffin-embedded human lung cancer performed on a Leica BondTM system. After dewaxing and hydration, antigen retrieval was mediated by high pressure in a citrate buffer (pH 6.0). Section was blocked with 10% normal goat serum 30min at RT. Then primary antibody (1% BSA) was incubated at 4℃ overnight. The primary is detected by a Goat anti-rabbit IgG polymer labeled by HRP and visualized using 0.05% DAB.
TOP2A Antibodies
TOP2A for Homo sapiens (Human)
| 產品貨號 | 產品名稱 | 種屬反應性 | 應用類型 |
|---|---|---|---|
| CSB-PA024060GA01HU | TOP2A Antibody | Human | ELISA,WB,IHC,IF |
| CSB-PA248815 | Phospho-TOP2A (Thr1343) Antibody | Human | ELISA,WB |
| CSB-PA438319 | TOP2A (Ab-1343) Antibody | Human | ELISA,WB |
| CSB-PA105332 | TOP2A Antibody | Human | ELISA,WB,IHC,IF |
| CSB-PA949180 | Phospho-TOP2A (Ser1106) Antibody | Human,Mouse | ELISA,WB,IHC |
| CSB-PA004317 | TOP2A Antibody | Human,Monkey | WB, IHC, IF, ELISA |
| CSB-PA004663 | TOP2A Antibody | Human,Mouse | WB, ELISA |
| CSB-PA050284 | Phospho-TOP2A (T1343) Antibody | Human | WB, ELISA |
| CSB-PA050285 | Phospho-TOP2A (S1106) Antibody | Human | WB, IHC, ELISA |
| CSB-PA050286 | Phospho-TOP2A (S1525) Antibody | Human,Mouse,Rat | WB, IHC, ELISA |
| CSB-PA050287 | TOP2A Antibody | Human | WB, IHC, ELISA |
| CSB-PA050288 | TOP2A Antibody | Human,Mouse,Rat | WB, IHC, ELISA |
| CSB-PA050289 | TOP2A Antibody | Human | WB, IHC, ELISA |
| CSB-PA062296 | TOP2A Antibody | Human,Mouse,Rat | ELISA,IHC |
| CSB-RA696677A0HU | TOP2A Recombinant Monoclonal Antibody | Human, Mouse | ELISA, WB, IHC |
TOP2A Proteins
TOP2A Proteins for Homo sapiens (Human)
| 產品貨號 | 產品名稱 | 來源 |
|---|---|---|
| CSB-YP024060HU CSB-EP024060HU CSB-BP024060HU CSB-MP024060HU CSB-EP024060HU-B |
Recombinant Human DNA topoisomerase 2-alpha (TOP2A), partial | Yeast E.coli Baculovirus Mammalian cell In Vivo Biotinylation in E.coli |






