TWF1
TWF1,全稱為Twinfilin-1,是一種與肌動蛋白結合的蛋白。它屬于Twinfilin基因家族,該家族還包括TWF2等成員。TWF1蛋白在多種組織中表達,尤其在神經元和免疫細胞中發揮重要作用。它能結合肌動蛋白單體或細絲,調節肌動蛋白的聚合和解聚,從而影響細胞的形狀、遷移和內部運輸等過程。TWF1蛋白的表達異常可能與神經發育障礙、免疫缺陷疾病以及某些癌癥的轉移相關。目前,針對TWF1蛋白的藥物研發尚處于探索階段,但已有研究表明,調節TWF1蛋白的表達和功能可能為治療相關疾病提供新的策略。
熱銷產品
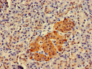
TWF1 Antibody (CSB-PA622511LA01HU)
驗證數據
Immunohistochemistry of paraffin-embedded human pancreatic tissue using CSB-PA622511LA01HU at dilution of 1:100
Immunofluorescent analysis of Hela cells using CSB-PA622511LA01HU at dilution of 1:100 and Alexa Fluor 488-congugated AffiniPure Goat Anti-Rabbit IgG(H+L)
TWF1 Antibodies
TWF1 for Homo sapiens (Human)
| 產品貨號 | 產品名稱 | 種屬反應性 | 應用類型 |
|---|---|---|---|
| CSB-PA025356GA01HU | TWF1 Antibody | Human,Mouse,Rat | ELISA,WB,IHC |
| CSB-PA278516 | TWF1 Antibody | Human,Mouse,Rat | ELISA,WB,IHC |
| CSB-PA090875 | TWF1 Antibody | Human,Mouse,Rat | ELISA,IHC |
| CSB-PA622511LA01HU | TWF1 Antibody | Human | ELISA, IHC, IF |
| CSB-PA622511LB01HU | TWF1 Antibody, HRP conjugated | Human | ELISA |
| CSB-PA622511LC01HU | TWF1 Antibody, FITC conjugated | Human | |
| CSB-PA622511LD01HU | TWF1 Antibody, Biotin conjugated | Human | ELISA |
TWF1 Proteins
TWF1 Proteins for Homo sapiens (Human)
| 產品貨號 | 產品名稱 | 來源 |
|---|---|---|
| CSB-YP622511HU CSB-EP622511HU CSB-BP622511HU CSB-MP622511HU CSB-EP622511HU-B |
Recombinant Human Twinfilin-1 (TWF1) | Yeast E.coli Baculovirus Mammalian cell In Vivo Biotinylation in E.coli |






