UBAC2
UBAC2,即泛素化相關結構域蛋白2,別名FLJ26351、FLJ30001、FLJ30548、FLJ42413、PHGDHL1。它是由人類染色體13q32.3上的UBAC2基因編碼的蛋白。UBAC2在多種細胞過程中發揮作用,包括內質網(ER)吞噬、炎癥反應的負調節、腫瘤發生發展。其作用機制涉及與自噬體蛋白GABARAP的相互作用,通過微管親和力調節激酶2(MARK2)磷酸化UBAC2的絲氨酸(S)223,促進其二聚化,從而促進ER的選擇性降解。UBAC2通過影響ER吞噬,抑制炎癥反應和急性潰瘍性結腸炎(UC),并與多種腫瘤的發生和發展密切相關,如膀胱癌。UBAC2的異常表達與多種疾病相關,包括Behcet’sdisease、皮膚癌和膀胱癌,是潛在的治療靶點和預后因素。
熱銷產品
UBAC2 Antibody (CSB-PA854093LA01HU)
驗證數據
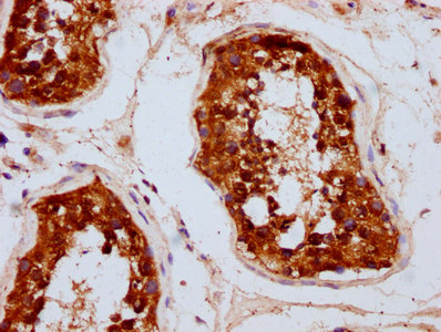
IHC image of CSB-PA854093LA01HU diluted at 1:300 and staining in paraffin-embedded human colon cancer performed on a Leica BondTM system. After dewaxing and hydration, antigen retrieval was mediated by high pressure in a citrate buffer (pH 6.0). Section was blocked with 10% normal goat serum 30min at RT. Then primary antibody (1% BSA) was incubated at 4°C overnight. The primary is detected by a biotinylated secondary antibody and visualized using an HRP conjugated SP system.
IHC image of CSB-PA854093LA01HU diluted at 1:300 and staining in paraffin-embedded human testis tissue performed on a Leica BondTM system. After dewaxing and hydration, antigen retrieval was mediated by high pressure in a citrate buffer (pH 6.0). Section was blocked with 10% normal goat serum 30min at RT. Then primary antibody (1% BSA) was incubated at 4°C overnight. The primary is detected by a biotinylated secondary antibody and visualized using an HRP conjugated SP system.
UBAC2 Antibodies
UBAC2 for Homo sapiens (Human)
| 產品貨號 | 產品名稱 | 種屬反應性 | 應用類型 |
|---|---|---|---|
| CSB-PA854093LA01HU | UBAC2 Antibody | Human | ELISA, IHC |
| CSB-PA854093LB01HU | UBAC2 Antibody, HRP conjugated | Human | ELISA |
| CSB-PA854093LC01HU | UBAC2 Antibody, FITC conjugated | Human | |
| CSB-PA854093LD01HU | UBAC2 Antibody, Biotin conjugated | Human | ELISA |
UBAC2 Proteins
UBAC2 Proteins for Homo sapiens (Human)
| 產品貨號 | 產品名稱 | 來源 |
|---|---|---|
| CSB-YP854093HU1 CSB-EP854093HU1 CSB-BP854093HU1 CSB-MP854093HU1 CSB-EP854093HU1-B |
Recombinant Human Ubiquitin-associated domain-containing protein 2 (UBAC2), partial | Yeast E.coli Baculovirus Mammalian cell In Vivo Biotinylation in E.coli |
| CSB-CF854093HU | Recombinant Human Ubiquitin-associated domain-containing protein 2 (UBAC2) | in vitro E.coli expression system |






