USP10
USP10,即泛素特異性蛋白酶10,別名 KIAA0190、GC124997。它是一種去泛素化酶(DUBs)家族中的重要成員,主要在細胞質中定位,能夠對多種蛋白質進行去泛素化修飾,從而調控它們的穩定性和功能。USP10的作用機制涉及其酶活性,通過特異性地切割泛素鏈,影響蛋白質的降解和信號轉導。它參與調控細胞增殖、細胞周期、凋亡與自噬等生理過程,并且與多種蛋白質如p53、PCNA、MSH2、Notch及PTEN等的去泛素化有關。USP10在多種腫瘤的發生發展中扮演著重要角色。它可以通過穩定p53蛋白及其定位、調節DNA損傷的敏感性與穩定性、延長PTEN半衰期等方式影響癌癥演進。USP10在宮頸癌、胃癌等癌癥中發揮著抑癌作用,而在乳腺癌中可能具有促癌作用。
熱銷產品
USP10 Antibody (CSB-PA613516LA01HU)
驗證數據
Western Blot
Positive WB detected in: Hela whole cell lysate, 293 whole cell lysate, A549 whole cell lysate, Rat liver tissue
All lanes: USP10 antibody at 3μg/ml
Secondary
Goat polyclonal to rabbit IgG at 1/50000 dilution
Predicted band size: 88, 93 kDa
Observed band size: 88 kDa
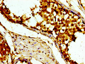
Immunohistochemistry of paraffin-embedded human testis tissue using CSB-PA613516LA01HU at dilution of 1:100
Immunofluorescent analysis of Hela cells using CSB-PA613516LA01HU at dilution of 1:100 and Alexa Fluor 488-congugated AffiniPure Goat Anti-Rabbit IgG(H+L)
Immunoprecipitating USP10 in A549 whole cell lysate
Lane 1: Rabbit control IgG instead of CSB-PA613516LA01HU in A549 whole cell lysate.
For western blotting, a HRP-conjugated Protein G antibody was used as the secondary antibody (1/2000)
Lane 2: CSB-PA613516LA01HU (8μg) + A549 whole cell lysate (500μg)
Lane 3: A549 whole cell lysate (10μg)
USP10 Antibodies
USP10 for Homo sapiens (Human)
| 產品貨號 | 產品名稱 | 種屬反應性 | 應用類型 |
|---|---|---|---|
| CSB-PA025696GA01HU | USP10 Antibody | Human,Mouse,Rat | ELISA,WB,IF |
| CSB-PA613516LA01HU | USP10 Antibody | Human, Rat | ELISA, WB, IHC, IF, IP |
| CSB-PA613516LB01HU | USP10 Antibody, HRP conjugated | Human | ELISA |
| CSB-PA613516LC01HU | USP10 Antibody, FITC conjugated | Human | |
| CSB-PA613516LD01HU | USP10 Antibody, Biotin conjugated | Human | ELISA |
USP10 Proteins
USP10 Proteins for Homo sapiens (Human)
| 產品貨號 | 產品名稱 | 來源 |
|---|---|---|
| CSB-YP613516HU CSB-EP613516HU CSB-BP613516HU CSB-MP613516HU CSB-EP613516HU-B |
Recombinant Human Ubiquitin carboxyl-terminal hydrolase 10 (USP10) | Yeast E.coli Baculovirus Mammalian cell In Vivo Biotinylation in E.coli |






