VASH1
VASH1蛋白,全稱為Vasohibin-1,是一種血管生成抑制蛋白。它有多種常見別名,如KIAA1036、vasohibin 1、TTCP 1等。VASH1蛋白在人體內通過抑制血管生成來發揮作用,對心血管健康具有重要意義。目前,VASH1蛋白的研究主要集中在血管生成相關疾病的治療上,如腎臟病、高血壓等。在藥物研發方面,針對VASH1蛋白的藥物正在研發中,有望為相關疾病的治療提供新的策略。
熱銷產品
Recombinant Human Tubulinyl-Tyr carboxypeptidase 1 (VASH1) (CSB-EP745337HU)
驗證數據
(Tris-Glycine gel) Discontinuous SDS-PAGE (reduced) with 5% enrichment gel and 15% separation gel.
VASH1 Antibody (CSB-PA745337HA01HU)
驗證數據
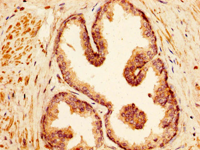
IHC image of CSB-PA745337HA01HU diluted at 1:500 and staining in paraffin-embedded human prostate cancer performed on a Leica BondTM system. After dewaxing and hydration, antigen retrieval was mediated by high pressure in a citrate buffer (pH 6.0). Section was blocked with 10% normal goat serum 30min at RT. Then primary antibody (1% BSA) was incubated at 4°C overnight. The primary is detected by a biotinylated secondary antibody and visualized using an HRP conjugated SP system.
IHC image of CSB-PA745337HA01HU diluted at 1:500 and staining in paraffin-embedded human brain tissue performed on a Leica BondTM system. After dewaxing and hydration, antigen retrieval was mediated by high pressure in a citrate buffer (pH 6.0). Section was blocked with 10% normal goat serum 30min at RT. Then primary antibody (1% BSA) was incubated at 4°C overnight. The primary is detected by a biotinylated secondary antibody and visualized using an HRP conjugated SP system.
Human Vasohibin-1(VASH1) ELISA kit (CSB-EL025794HU)
驗證數據
貨號:CSB-EL025794HU
規格:96T/48T
靈敏度:15.6 pg/mL
檢測范圍:62.5 pg/mL-4000 pg/mL
These standard curves are provided for demonstration only. A standard curve should be generated for each set of samples assayed.
VASH1 Antibodies
VASH1 for Homo sapiens (Human)
| 產品貨號 | 產品名稱 | 種屬反應性 | 應用類型 |
|---|---|---|---|
| CSB-PA025794GA01HU | VASH1 Antibody | Human,Mouse,Rat | ELISA,WB |
| CSB-PA745337GA01HU | VASH1 Antibody | Human,Mouse,Rat | ELISA,WB |
| CSB-PA745337HA01HU | VASH1 Antibody | Human | ELISA, IHC |
| CSB-PA745337HB01HU | VASH1 Antibody, HRP conjugated | Human | ELISA |
| CSB-PA745337HD01HU | VASH1 Antibody, Biotin conjugated | Human | ELISA |
| CSB-PA149592 | VASH1 Antibody | Human | ELISA,WB |
| CSB-PA004420 | VASH1 Antibody | Human,Mouse,Rat | WB, ELISA |
| CSB-PA899191 | VASH1 Antibody | Human,Mouse | ELISA,WB,IHC |
| CSB-PA562311 | VASH1 Antibody | Human,Mouse | ELISA,WB,IHC |
VASH1 Proteins
VASH1 Proteins for Homo sapiens (Human)
| 產品貨號 | 產品名稱 | 來源 |
|---|---|---|
| CSB-YP745337HU CSB-BP745337HU CSB-MP745337HU CSB-EP745337HU-B |
Recombinant Human Tubulinyl-Tyr carboxypeptidase 1 (VASH1) | Yeast Baculovirus Mammalian cell In Vivo Biotinylation in E.coli |
| CSB-EP745337HU | Recombinant Human Tubulinyl-Tyr carboxypeptidase 1 (VASH1) | E.coli |
VASH1 ELISA Kit
VASH1 ELISA Kit for Homo sapiens (Human)
| 產品貨號 | 產品名稱 | 樣本類型 | 靈敏度 |
|---|---|---|---|
| CSB-EL025794HU | Human Vasohibin-1(VASH1) ELISA kit | serum, plasma, tissue homogenates | 15.6 pg/mL |






