VPS35
VPS35,全稱為Vacuolar Protein Sorting 35,是一種參與細胞內囊泡運輸的重要蛋白。它主要位于細胞質中,是逆行運輸復合體(retromer complex)的關鍵組成部分。VPS35蛋白能夠實現D1多巴胺受體的結合活性,并參與從內質網到高爾基體的逆行運輸過程。研究表明,VPS35蛋白與帕金森病和帕金森病17等疾病密切相關,其在多種腫瘤中高表達,并調控多種因子及通路,影響腫瘤的發生發展和轉移。VPS35蛋白的氧化水平與癌細胞的化療耐藥性密切相關,高表達的VPS35蛋白能夠降低線粒體活性,幫助癌細胞抵抗化療藥物。因此,針對VPS35蛋白的氧化位點開發小分子抑制劑,以及建立線粒體翻譯活性的臨床評估體系,可能成為破解腫瘤耐藥難題的新方向。
熱銷產品
Recombinant Human Vacuolar protein sorting-associated protein 35 (VPS35) (CSB-EP839401HU)
驗證數據
(Tris-Glycine gel) Discontinuous SDS-PAGE (reduced) with 5% enrichment gel and 15% separation gel.
Based on the SEQUEST from database of E.coli host and target protein, the LC-MS/MS Analysis result of CSB-EP839401HU could indicate that this peptide derived from E.coli-expressed Homo sapiens (Human) VPS35.
Based on the SEQUEST from database of E.coli host and target protein, the LC-MS/MS Analysis result of CSB-EP839401HU could indicate that this peptide derived from E.coli-expressed Homo sapiens (Human) VPS35.
VPS35 Antibody (CSB-PA839401ESR2HU)
驗證數據
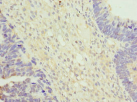
Immunohistochemistry of paraffin-embedded human ovarian cancer using CSB-PA839401ESR2HU at dilution of 1:100
Immunohistochemistry of paraffin-embedded human testis tissue using CSB-PA839401ESR2HU at dilution of 1:100
VPS35 Antibodies
VPS35 for Homo sapiens (Human)
| 產品貨號 | 產品名稱 | 種屬反應性 | 應用類型 |
|---|---|---|---|
| CSB-PA088155 | VPS35 Antibody | Human,Mouse | ELISA,WB,IHC |
| CSB-PA076908 | VPS35 Antibody | Human,Mouse | ELISA,IHC |
| CSB-PA839401ESR2HU | VPS35 Antibody | Human | ELISA, IHC |
VPS35 Proteins
VPS35 Proteins for Saccharomyces cerevisiae (strain ATCC 204508 / S288c) (Baker's yeast)
| 產品貨號 | 產品名稱 | 來源 |
|---|---|---|
| CSB-YP025904SVG CSB-EP025904SVG CSB-BP025904SVG CSB-MP025904SVG CSB-EP025904SVG-B |
Recombinant Saccharomyces cerevisiae Vacuolar protein sorting-associated protein 35 (VPS35), partial | Yeast E.coli Baculovirus Mammalian cell In Vivo Biotinylation in E.coli |
VPS35 Proteins for Schizosaccharomyces pombe (strain 972 / ATCC 24843) (Fission yeast)
| 產品貨號 | 產品名稱 | 來源 |
|---|---|---|
| CSB-YP025904SXV CSB-EP025904SXV CSB-BP025904SXV CSB-MP025904SXV CSB-EP025904SXV-B |
Recombinant Schizosaccharomyces pombe Vacuolar protein sorting-associated protein 35 (vps35), partial | Yeast E.coli Baculovirus Mammalian cell In Vivo Biotinylation in E.coli |
VPS35 Proteins for Bos taurus (Bovine)
| 產品貨號 | 產品名稱 | 來源 |
|---|---|---|
| CSB-YP642243BO CSB-EP642243BO CSB-BP642243BO CSB-MP642243BO CSB-EP642243BO-B |
Recombinant Bovine Vacuolar protein sorting-associated protein 35 (VPS35), partial | Yeast E.coli Baculovirus Mammalian cell In Vivo Biotinylation in E.coli |
VPS35 Proteins for Dictyostelium discoideum (Slime mold)
| 產品貨號 | 產品名稱 | 來源 |
|---|---|---|
| CSB-YP681538DKK CSB-EP681538DKK CSB-BP681538DKK CSB-MP681538DKK CSB-EP681538DKK-B |
Recombinant Dictyostelium discoideum Vacuolar sorting protein 35 (vps35), partial | Yeast E.coli Baculovirus Mammalian cell In Vivo Biotinylation in E.coli |
VPS35 Proteins for Homo sapiens (Human)
| 產品貨號 | 產品名稱 | 來源 |
|---|---|---|
| CSB-YP839401HU CSB-BP839401HU CSB-MP839401HU CSB-EP839401HU-B |
Recombinant Human Vacuolar protein sorting-associated protein 35 (VPS35) | Yeast Baculovirus Mammalian cell In Vivo Biotinylation in E.coli |
| CSB-EP839401HU | Recombinant Human Vacuolar protein sorting-associated protein 35 (VPS35) | E.coli |
| CSB-BP839401HUd8 | Recombinant Human Vacuolar protein sorting-associated protein 35 (VPS35) | Baculovirus |
VPS35 Proteins for Mus musculus (Mouse)
| 產品貨號 | 產品名稱 | 來源 |
|---|---|---|
| CSB-YP863646MO CSB-EP863646MO CSB-BP863646MO CSB-MP863646MO CSB-EP863646MO-B |
Recombinant Mouse Vacuolar protein sorting-associated protein 35 (Vps35) | Yeast E.coli Baculovirus Mammalian cell In Vivo Biotinylation in E.coli |






