-
中文名稱:CD31鼠單克隆抗體
-
貨號:CSB-MA017767A0m
-
規格:¥1320
-
圖片:
-
Western Blot
Positive WB detected in: Jurkat whole cell lysate, THP-1 whole cell lysate, Raji whole cell lysate
All lanes: CD31 antibody at 2.5µg/ml
Secondary
Goat polyclonal to Mouse IgG at 1/50000 dilution
Predicted band size: 83, 81, 80, 82 kDa
Observed band size: 130 kDa -
IHC image of CSB-MA017767A0m diluted at 1:100 and staining in paraffin-embedded human tonsil tissue performed on a Leica BondTM system. After dewaxing and hydration, antigen retrieval was mediated by high pressure in a citrate buffer (pH 6.0). Section was blocked with 10% normal goat serum 30min at RT. Then primary antibody (1% BSA) was incubated at 4°C overnight. The primary is detected by a biotinylated secondary antibody and visualized using an HRP conjugated SP system.
-
IHC image of CSB-MA017767A0m diluted at 1:100 and staining in paraffin-embedded human lung cancer performed on a Leica BondTM system. After dewaxing and hydration, antigen retrieval was mediated by high pressure in a citrate buffer (pH 6.0). Section was blocked with 10% normal goat serum 30min at RT. Then primary antibody (1% BSA) was incubated at 4°C overnight. The primary is detected by a biotinylated secondary antibody and visualized using an HRP conjugated SP system.
-
IHC image of CSB-MA017767A0m diluted at 1:100 and staining in paraffin-embedded human spleen tissue performed on a Leica BondTM system. After dewaxing and hydration, antigen retrieval was mediated by high pressure in a citrate buffer (pH 6.0). Section was blocked with 10% normal goat serum 30min at RT. Then primary antibody (1% BSA) was incubated at 4°C overnight. The primary is detected by a biotinylated secondary antibody and visualized using an HRP conjugated SP system.
-
IHC image of CSB-MA017767A0m diluted at 1:100 and staining in paraffin-embedded human breast cancer performed on a Leica BondTM system. After dewaxing and hydration, antigen retrieval was mediated by high pressure in a citrate buffer (pH 6.0). Section was blocked with 10% normal goat serum 30min at RT. Then primary antibody (1% BSA) was incubated at 4°C overnight. The primary is detected by a biotinylated secondary antibody and visualized using an HRP conjugated SP system.
-
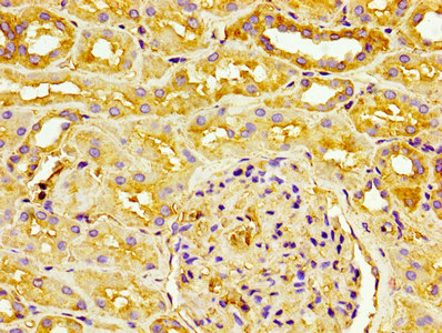
IHC image of CSB-MA017767A0m diluted at 1:100 and staining in paraffin-embedded human kidney tissue performed on a Leica BondTM system. After dewaxing and hydration, antigen retrieval was mediated by high pressure in a citrate buffer (pH 6.0). Section was blocked with 10% normal goat serum 30min at RT. Then primary antibody (1% BSA) was incubated at 4°C overnight. The primary is detected by a biotinylated secondary antibody and visualized using an HRP conjugated SP system.
-
Immunofluorescence staining of Hela cells with CSB-MA017767A0m at 1:100, counter-stained with DAPI. The cells were blocked in 10% normal Goat Serum and then incubated with the primary antibody overnight at 4°C. The secondary antibody was Alexa Fluor 488-congugated AffiniPure Goat Anti-Mouse IgG(H+L).
-
Immunofluorescence staining of THP-1 cells with CSB-MA017767A0m at 1:100, counter-stained with DAPI. The cells were blocked in 10% normal Goat Serum and then incubated with the primary antibody overnight at 4°C. The secondary antibody was Alexa Fluor 488-congugated AffiniPure Goat Anti-Mouse IgG(H+L).
-
Overlay histogram showing THP-1 cells stained with CSB-MA017767A0m (red line) at 1:250. The cells were incubated in 1x PBS /10% normal goat serum to block non-specific protein-protein interactions followed by primary antibody for 1 h at 4°C. The secondary antibody used was FITC goat anti-mouse IgG(H+L) at 1/200 dilution for 1 h at 4°C. Isotype control antibody (green line) was used under the same conditions. Acquisition of >10,000 events was performed.
-
Overlay histogram showing HL-60 cells stained with CSB-MA017767A0m (red line) at 1:250. The cells were incubated in 1x PBS /10% normal goat serum to block non-specific protein-protein interactions followed by primary antibody for 1 h at 4°C. The secondary antibody used was FITC goat anti-mouse IgG(H+L) at 1/200 dilution for 1 h at 4°C. Isotype control antibody (green line) was used under the same conditions. Acquisition of >10,000 events was performed.
-
-
其他:
產品詳情
-
產品描述:CD31單克隆抗體(貨號:CUSABIO貨號:CSB-MA017767A0m)是一款針對人源CD31/PECAM-1靶點的高特異性科研試劑,可支持ELISA、Western Blot、免疫組化、免疫熒光及流式細胞術等多平臺檢測。CD31作為免疫球蛋白超家族成員,廣泛表達于血管內皮細胞、血小板、單核巨噬細胞及粒細胞表面,在血管生成、白細胞遷移及整合素激活等生理病理過程中具有關鍵調控作用。該抗體在腫瘤血管生成評估中表現優異,尤其適用于血管內皮瘤、血管肉瘤等血管源性腫瘤的標記研究,其靈敏度與特異性為腫瘤微環境分析提供可靠工具。在免疫組化應用中能清晰顯示內皮細胞分布特征,助力科研人員探索腫瘤生長機制與血管重塑動態。本產品經嚴格質控驗證,適用于人源樣本的蛋白水平檢測,為心血管疾病、腫瘤生物學及免疫調控等領域的體外研究提供優質解決方案。
-
產品名稱:Mouse anti-Homo sapiens (Human) PECAM1 Monoclonal antibody
-
Uniprot No.:
-
基因名:
-
別名:PECAM1; Platelet endothelial cell adhesion molecule; PECAM-1; EndoCAM; GPIIA'; PECA1; CD antigen CD31
-
宿主:Mouse
-
反應種屬:Human
-
免疫原:Recombinant Human CD31 protein (28-315AA)
-
免疫原種屬:Homo sapiens (Human)
-
標記方式:Non-conjugated
-
克隆類型:Monoclonal
-
抗體亞型:IgG2a
-
純化方式:>95%, Protein G purified
-
克隆號:9E6E12
-
濃度:It differs from different batches. Please contact us to confirm it.
-
保存緩沖液:Preservative: 0.03% Proclin 300
Constituents: 50% Glycerol, 0.01M PBS, PH 7.4 -
產品提供形式:Liquid
-
應用范圍:ELISA, WB, IHC, IF, FC
-
推薦稀釋比:
Application Recommended Dilution WB 1:500-1:5000 IHC 1:50-1:500 IF 1:50-1:200 -
Protocols:
-
儲存條件:Upon receipt, store at -20°C or -80°C. Avoid repeated freeze.
-
貨期:Basically, we can dispatch the products out in 1-3 working days after receiving your orders. Delivery time maybe differs from different purchasing way or location, please kindly consult your local distributors for specific delivery time.
-
用途:For Research Use Only. Not for use in diagnostic or therapeutic procedures.
引用文獻
- Wound healing potential of quercetin-3-O-rhamnoside and myricetin-3-O-rhamnoside isolated from Pistacia lentiscus distilled leaves in rats model W Elloumi,Biomedicine & pharmacotherapy,2022
相關產品
靶點詳情
-
功能:Cell adhesion molecule which is required for leukocyte transendothelial migration (TEM) under most inflammatory conditions. Tyr-690 plays a critical role in TEM and is required for efficient trafficking of PECAM1 to and from the lateral border recycling compartment (LBRC) and is also essential for the LBRC membrane to be targeted around migrating leukocytes. Trans-homophilic interaction may play a role in endothelial cell-cell adhesion via cell junctions. Heterophilic interaction with CD177 plays a role in transendothelial migration of neutrophils. Homophilic ligation of PECAM1 prevents macrophage-mediated phagocytosis of neighboring viable leukocytes by transmitting a detachment signal. Promotes macrophage-mediated phagocytosis of apoptotic leukocytes by tethering them to the phagocytic cells; PECAM1-mediated detachment signal appears to be disabled in apoptotic leukocytes. Modulates bradykinin receptor BDKRB2 activation. Regulates bradykinin- and hyperosmotic shock-induced ERK1/2 activation in endothelial cells. Induces susceptibility to atherosclerosis.; Does not protect against apoptosis.
-
基因功能參考文獻:
- High CD31 expression is associated with Central Giant Cell Granuloma. PMID: 30139237
- TNF-alpha and IL-10 treatment can affect the expression of ICAM-1 and CD31 in human coronary artery endothelial cells. PMID: 29949812
- High CD31 expression is associated with early-stage, but not in late-stage, laryngeal squamous cell carcinoma. PMID: 29523110
- Adenocarcinomas showed significantly higher staining scores of both VEGF and alphaSMA than squamous cell carcinomas did. In 42 cases of high CD31 score, five-year survival rate (87%) of patients with lung cancer showing mature tumor vessels was significantly better than that (69%) of patients with immature tumor vessels PMID: 29970531
- Differences in trafficking of CD31(+) cytotoxic T lymphocytes during acute influenza infection could modulate tolerance and contribute to a dampened adaptive immune response in neonates PMID: 28355204
- Cell adhesion assays on wildtype and mutant PECAM-1 further characterized the structural determinants in cell junction and communication. PMID: 27958302
- In primary hip OA, angiogenesis may be induced by a combined mechanism: hypoxia-related VEGF-dependent vasculogenesis and endothelial differentiation of the activated pluripotent cells, which are released from the hyperplastic synovial cells layer. An endothelial mesenchymal transition is assumed to be involved in the fibrotic process. PMID: 27704157
- upregulation of sVEGFR-1 with concomitant decline of PECAM-1 and sVEGFR-2 levels in preeclampsia compared to normotensive pregnancies, Irrespective of the HIV status PMID: 28609170
- Increased expression of PECAM-1, ICAM-3, and VCAM-1 in colonic biopsies from patients with inflammatory bowel disease (IBD) in clinical remission is associated with subsequent flares; this suggests that increases in the expression of these proteins may be early events that lead to flares in patients with IBD. PMID: 27552332
- PECAM-1 gene polymorphisms are associated with Kawasaki disease with and without coronary artery lesions in Chinese children. PMID: 28512385
- Sirt1 expression is associated with CD31 expression in endothelial progenitor cells from patients with chronic obstructive pulmonary disease. PMID: 27784320
- we found a significant cumulative contribution of the genetic heterogeneity of glycoproteins Ia and IIIa and platelet-endothelial cell adhesion molecule-1 and P-Selectin genes in the risk of recurrent IVF-ET failures. The coexistence of these SNPs was associated with increased IVF-ET failure risk and the more polymorphic alleles or genotypes were present the higher the risk of IVF-ET failure, especially for younger women PMID: 28388872
- Dimer conformation of soluble PECAM-1 PMID: 27270333
- RrgA, binds both polymeric immunoglobulin receptor (pIgR) and PECAM-1, whereas the choline binding protein PspC binds, but to a lower extent, only pIgR PMID: 28515075
- this study shows a significant role for CD31 during T cell development PMID: 28159903
- Cells in high glucose for 7 days showed a significant decrease in mRNA expression of CD31 and VE-cadherin, and a significant increase in that of alpha-SMA and collagen I. PMID: 28347704
- Patients who had optic neuritis that progressed to multiple sclerosis had a decrease in serum PECAM-1 levels. PMID: 27806869
- Platelet endothelial cell adhesion molecule (PECAM-1) is expressed in endothelial cells (ECs), platelets, and leukocytes, regulating the interaction between those cells. PMID: 27079772
- Data indicate no association of maternal or fetal ITGA2 C807T SNP, ITGB3 T1565C SNP, PECAM1 CTG - GTG and SELP A/C polymorphisms with fetal growth restriction (FGR). PMID: 28358707
- these data suggest that a sialic acid-containing glycan emanating from Asn-25 reinforces dynamic endothelial cell-cell interactions by stabilizing the PECAM-1 homophilic binding interface. PMID: 27793989
- Decreased FoxP3 expression in CD31(+) Tr cells. PMID: 27997991
- These results suggested that PECAM-1 could mediate platelet adhesion to endothelial cells under shear stress. Platelets binding to endothelial cells interfered with endothelial cell mechanotransduction through PECAM-1, affecting endothelial cell inflammatory responses towards pathological shear flow. PMID: 28013181
- Immunohistochemical expression of CD31 and vascular endothelial growth factor (VEGF) were assessed in parallel. PMID: 27270504
- CD31 is expressed in mycosis fungoides (MF) skin biopsies, which provides new evidence for the role of angiogenesis in the progression of MF PMID: 27630298
- The Leu125Val polymorphism of PECAM-1 and the level of soluble PECAM-1 are not associated with diabetic nephropathy in Caucasians with type 2 diabetes mellitus. PMID: 28116228
- We provide the first report that pro-angiogenic genes PECAM1, PTGS1, FGD5, and MCAM may play a vital role in pathological dermal angiogenesis disorders of psoriasis. PMID: 26748901
- The PECAM-1 functions as an adhesive stress-response protein to both maintain endothelial cell junctional integrity and speed restoration of the vascular permeability barrier following inflammatory or thrombotic challenge. PMID: 27055047
- These studies indicate a role for PECAM-1 in enhancing the inhibitory functions of TGF-beta in T cells PMID: 26956486
- PECAM1 plays an important role in the formation of tight junction complex. PMID: 26607202
- The most significant associations were detected for PECAM1*V/V + DDAH1*C (OR = 4.17 CI 1.56-11.15 Pperm = 0.005) PMID: 26662939
- soluble CD38 (sCD38) in seminal plasma increases the capacitation of sperm via specific interactions between sCD38 and the CD31 on the sperm. PMID: 26407101
- expression levels of CD31/ PECAM1 are deregulated in human glioblastoma multiforme tissue specimens; correlation among CD31/PECAM1 and HIF-1alpha and N-cadherin and ADAM-10, two other markers of aggressiveness in the same tumors PMID: 26376118
- Radiation-induced stress conditions induce a transient accumulation of granulocytes within the liver by down-regulation/absence of PECAM-1. PMID: 26177067
- Suggest that CD31 expression correlates with prognosis in gastrointestinal stromal tumors. PMID: 26078569
- PECAM-1 125C/G polymorphism is associated with deep vein thrombosis. PMID: 25846278
- Heterogeneity was found in the endothelial cells: their shape, the expression of adhesion molecules(ICAM-1, VCAM-1, and PECAM ), and the adhesion of lymphocytes and monocytes to them changed during the progression of the atherosclerotic process. PMID: 26841644
- PECAM1+ melanoma cells form vascular channels PMID: 25335460
- Low shear stress can induce inflammatory response via PECAM-1/PARP-1/HMGB1 pathway. PMID: 25793984
- Nck promoted oxidative stress-induced activation of NF-kappaB by coupling the tyrosine phosphorylation of PECAM-1 (platelet endothelial cell adhesion molecule-1) to the activation of p21-activated kinase PMID: 25714462
- PECAM-1 has a role in mediating the profibrotic and prometastasic environment caused by ethanol in endothelial cells PMID: 24734240
- Report correlation between mast cell tryptase and CD31 expression in odontogenic tumors. PMID: 26247531
- there are associations between various PECAM-1 polymorphisms in rheumatoid arthritis and systemic lupus erythematosus patients, and PECAM-1 polymorphisms in SLE are protective against atherosclerotic complications PMID: 25201689
- preeclampsia does not significantly affect vascular growth or the expression of endothelial junction proteins in human placentas PMID: 25362142
- C-CD31 have impaired angiogenic potential and the number of circulating CD31(+) cells were correlated with cardiovascular disease risk PMID: 25267411
- demonstrate a functional link between HO-1 gene expression and PECAM-1 in endothelial cells, which might play a critical role in the regulation of inflammation PMID: 24500083
- The positive correlation is established between content of polymorphic nuclear monocytes and level of expression of molecules of LFA-1, ICAM-1, LFA-3, and PECAM-1. PMID: 25884075
- High CD31 expression associated significantly with better survival and VEGFR3 had no association with survival. Both higher tumor grade and stage were associated with a decreased survival time PMID: 25667475
- Suggest that cell confluence and the type of flow are critical independent factors in the induction of TF and PECAM-1 phosphorylation in endothelial cells exposed to disturbed pulsatile flow and chemical stimuli. PMID: 24342062
- The finding that the adhesive properties of PECAM-1 are regulatable suggests novel approaches for controlling endothelial cell migration and barrier function in a variety of vascular permeability disorders. PMID: 24936065
- for the cytological diagnosis of angiosarcomas, ERG and CD31 are more sensitive vascular markers than CD34 PMID: 25352641
顯示更多
收起更多
-
亞細胞定位:Cell membrane; Single-pass type I membrane protein.; [Isoform Long]: Cell membrane; Single-pass type I membrane protein. Membrane raft. Cell junction.; [Isoform Delta15]: Cell junction. Note=Localizes to the lateral border recycling compartment (LBRC) and recycles from the LBRC to the junction in resting endothelial cells.
-
組織特異性:Expressed on platelets and leukocytes and is primarily concentrated at the borders between endothelial cells. Expressed in human umbilical vein endothelial cells (HUVECs) (at protein level). Expressed on neutrophils (at protein level). Isoform Long predom
-
數據庫鏈接:
Most popular with customers
-
-
YWHAB Recombinant Monoclonal Antibody
Applications: ELISA, WB, IHC, IF, FC
Species Reactivity: Human, Mouse, Rat
-
Phospho-YAP1 (S127) Recombinant Monoclonal Antibody
Applications: ELISA, WB, IHC
Species Reactivity: Human
-
-
-
-
-















