APOH Antibody
-
中文名稱:APOH兔多克隆抗體
-
貨號:CSB-PA795997
-
規格:¥1100
-
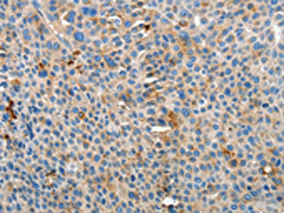
圖片:
-
The image on the left is immunohistochemistry of paraffin-embedded Human liver cancer tissue using CSB-PA795997(APOH Antibody) at dilution 1/15, on the right is treated with fusion protein. (Original magnification: ×200)
-
Gel: 10%SDS-PAGE, Lysate: 40 μg, Lane: Human testis tissue, Primary antibody: CSB-PA795997(APOH Antibody) at dilution 1/500, Secondary antibody: Goat anti rabbit IgG at 1/8000 dilution, Exposure time: 20 seconds
-
-
其他:
產品詳情
-
Uniprot No.:
-
基因名:
-
別名:Activated protein C binding protein antibody; Activated protein C-binding protein antibody; Anticardiolipin cofactor antibody; APC inhibitor antibody; Apo-H antibody; APOH antibody; APOH_HUMAN antibody; apolipoprotein H (beta-2-glycoprotein I) antibody; Apolipoprotein H antibody; B2G1 antibody; B2GP1 antibody; B2GPI antibody; Beta 2 glycoprotein I antibody; Beta 2 glycoprotein I precursor antibody; Beta(2)GPI antibody; Beta-2-glycoprotein 1 antibody; Beta-2-glycoprotein I antibody; BG antibody; Glycoprotein 1; beta-2 antibody; Glycoprotein I; beta-2 antibody; OTTMUSP00000003033 antibody
-
宿主:Rabbit
-
反應種屬:Human
-
免疫原:Fusion protein of Human APOH
-
免疫原種屬:Homo sapiens (Human)
-
標記方式:Non-conjugated
-
抗體亞型:IgG
-
純化方式:Antigen affinity purification
-
濃度:It differs from different batches. Please contact us to confirm it.
-
保存緩沖液:-20°C, pH7.4 PBS, 0.05% NaN3, 40% Glycerol
-
產品提供形式:Liquid
-
應用范圍:ELISA,WB,IHC
-
推薦稀釋比:
Application Recommended Dilution ELISA 1:2000-1:5000 WB 1:500-1:2000 IHC 1:15-1:50 -
Protocols:
-
儲存條件:Upon receipt, store at -20°C or -80°C. Avoid repeated freeze.
-
貨期:Basically, we can dispatch the products out in 1-3 working days after receiving your orders. Delivery time maybe differs from different purchasing way or location, please kindly consult your local distributors for specific delivery time.
-
用途:For Research Use Only. Not for use in diagnostic or therapeutic procedures.
相關產品
靶點詳情
-
功能:Binds to various kinds of negatively charged substances such as heparin, phospholipids, and dextran sulfate. May prevent activation of the intrinsic blood coagulation cascade by binding to phospholipids on the surface of damaged cells.
-
基因功能參考文獻:
- This study aimed to explore the mechanism of a novel mutation (p.Lys38Glu) in apolipoprotein H (APOH) gene causing hereditary beta2-glycoprotein I (beta2GPI) deficiency and thrombosis in a proband with thrombophilia. PMID: 30074200
- Data suggest alpha-1-antitrypsin (A1AT) and APOH (beta-2-glycoprotein-1) could represent promising markers for renal carcinogenesis in Von Hippel-Lindau disease (VHLD) patients. PMID: 28004973
- Suggest that anti-beta2 GPI antibodies bind to beta2 GPI-PS complexes expressed on microparticles. Consequent loss of beta2 GPI-PS expression on MPs may impair scavenging and contribute to the accumulation of circulating PS-negative MPs, a possible source of autoantigens in systemic lupus erythematosus. PMID: 28667788
- the data revealed that reduced beta2GPI exerts protective effects from glucoseinduced injury in human umbilical cord vein endothelial cells. PMID: 28731130
- Data suggest that, in patients with anti-GPIIb/IIIa-mediated immune thrombocytopenia, diminished plasma levels of beta2-GPI are linked to enhanced complement activation. PMID: 29350259
- The aim of this study was to assess clinical utility of the anti-Domain 1 B2GP1 antibodies in the diagnosis and risk stratification of antiphospholipid syndrome. Anti-Domain 1 test does not add accuracy in predicting Antiphospholipid syndrome thrombotic complications on the top of accuracy offered by classic tests. PMID: 28363116
- we have demonstrated a pathogenic role for aPL containing samples, mediated via aPL-2bGPI interactions, resulting in activation of the pro-apoptotic p38 MAPK pathway. PMID: 28079888
- Pretransplant IgA-aB2GP1 was the main risk factor for graft thrombosis and early graft loss after renal transplantation. PMID: 27140515
- These results suggest that antibodies directed against domain 1 of beta-2-glycoprotein 1 may contribute to antiphospholipid syndrome risk assessment, due to their association with the diagnosis of systemic autoimmunity and with more aggressive triple antiphospholipid antibody profiles, such as triple positivity and lupus anticoagulant activity. PMID: 27770664
- Circulating Immune Complexes of IgA Bound to Beta 2 Glycoprotein are Strongly Associated with the Occurrence of Acute Thrombotic Events. PMID: 27063992
- Genome-wide significant results in or near the APOH gene on chromosome 17 have been found for plasma apolipoprotein H levels in middle-aged and older adults. PMID: 27030319
- Prevalence and pathogenicity of IgA aB2GPI antibodies may vary from a population of ESRD patients to another. PMID: 26900811
- The association of IL28B and APOH single nucleotide polymorphisms (SNPs) with sustained virological response and of ITPA SNPs with anemia related phenotypes. PMID: 26670100
- We identified APOH as an obesity-resistance gene that interacts with FTO rs9939609 to more than double the occurrence of thinness. PMID: 26711810
- Trp316Ser variant (rs1801690) near the apolipoprotein H (beta2-glycoprotein-I) gene was associated with serum lipid parameters in Chinese volunteers. Suggest that there may be have racial/ethnic-and/or gender-specificity. PMID: 26261630
- Using affinity chromatography, polymyxin B can effectively decrease the binding of beta2GP1 to immobilize phosphatidylserine. PMID: 24275099
- Plasma apolipoprotein H limits HCV replication and associates with response to NS3 protease inhibitor-based therapy. PMID: 25556540
- The renoprotective and antifibrosis effects of beta2GPI and reduced beta2GPI on diabetic nephropathy were closely associated with suppressing the activation of the TGF-beta1-p38 MAPK pathway. PMID: 26045739
- Apo H is up-regulated in aspirin-tolerant asthma (ATA) compared to aspirin-exacerbated respiratory disease (AERD) and normal controls, suggesting that Apo H may be involved in different pathogenesis of ATA from AERD PMID: 24120690
- the V/V genotype and the V-encoding allele at position 247 of the beta2GPI gene had strong correlation with the occurrence of thrombosis and the production of the anti-beta2GPI antibodies. PMID: 24661363
- Apolipoprotein H expression is associated with IL28B Single Nucleotide Polymorphism and viral clearance in hepatitis C virus infection. PMID: 24905490
- The interaction between beta2GPI and TLR4 is confirmed by the reduction of anti-beta2GPI antibody binding and by the up-regulation of E-selectin or ICAM-1 by TLR4 silencing in HUVEC. PMID: 24685231
- APOH is a new candidate gene associated with thrombosis PMID: 25081279
- Data indicate that subjects with xidized low-density lipoprotein/beta2-glycoprotein I (oxLDL/beta2GPI) above the median (0.25 U/mL) were more likely to have arterial or venous disease. PMID: 25405208
- Serum from peripheral arterial disease patients with elevated beta2 glycoprotein I antibodies induces a genomic overexpression of TLR4 and its cellular signalling molecules in endothelial cells. PMID: 24472415
- Pretransplant IgA-aB2GPI-ab may have a detrimental effect on early clinical outcomes after renal transplantation. PMID: 25071084
- Partial or complete removal of the carbohydrate chains uncover cryptic epitopes present in beta(2)GPI. PMID: 25256745
- Serum beta2-GPI-Lp(a) levels were increased in ischemic stroke patients PMID: 24315780
- beta(2) GPI functions as a physiologic anticoagulant by inhibiting the key procoagulant activities of thrombin without affecting its unique anticoagulant function PMID: 23578283
- In seeking to identify proteins phosphorylated during anti-beta2GPI antibody-induced endothelial activation, we observed phosphorylation of nonmuscle myosin II regulatory light chain (RLC), which regulates cytoskeletal assembly. PMID: 23954892
- beta2GPI is a major autoantigen in the antiphospholipid syndrome; this protein can bind to the surface of apoptotic cells, playing a dual role as immunogen and as pathophysiological target of antiphospholipids. PMID: 23713583
- Both NF-kappaB and c-Jun/AP-1 can be activated and play important roles in the process of anti-beta2GPI/beta2GPI-induced tissue factor expression in monocytes. PMID: 23467542
- IgA antibodies to beta-glycoprotein I are detrimental to the clinical outcome of hemodialysis patients. PMID: 22358146
- Identify common variants reflecting the genetic architecture influencing plasma beta2 -GPI levels. PMID: 23279374
- This review discusses the characteristics of beta2GPI, an antigen of central importance in antiphospholipid syndrome (APS), as well as the targeting of the beta2GPI/anti-beta2GPI interaction in the treatment of APS. PMID: 23692565
- Beta(2)-GPI plays an essential role in the down-regulation of VEGF-induced endothelial responses. PMID: 22956423
- MAPKs (p38, ERK1/2 and JNK1/2) were the crucial downstream targets of the anti-beta(2)GPI/beta(2)GPI -triggered TLR4 signaling pathways in THP-1 cells. PMID: 22940059
- anti-beta(2)GPI/beta(2)GPI complex induced TF and TNF-alpha expression involving both TLR4/MyD88 and TLR4/TRIF signaling pathways and TLR4 and its adaptors might be molecular targets for therapy of antiphospholipid syndrome PMID: 22964479
- anti-oxLDL-beta2GPI antibodies and IgM anti-Elevated oxLDL-beta2GPI antibodies were detected in systemic lupus erythematosus, which may contribute to the elevated cardiovascular risk in SLE patients. PMID: 23214196
- Findings support the notion that the beta2-glycoprotein I (beta2GPI) Valine/Leucine247 polymorphism plays a role, but is probably not crucial in the pathogenesis of anti-phospholipid syndrome influencing development of anti-beta2GPI and thrombosis. PMID: 22399073
- Recent developments in our understanding of the antiphospholipid syndrome. (review) PMID: 22394675
- [review] Val/Val genotype of beta2-GPI gene is associated with antiphospholipid syndrome (APS), by patients with APS, with production of anti-beta2-GPI antibodies. PMID: 22246055
- epitope glycine40-arginine43 of domain I of beta2GPI predominantly responsible for binding thrombosis related antibodies [review] PMID: 22635228
- immunocomplexes of Hep, beta2GPI and anti-beta2GPI IgG in plasma of patients with antiphospholipid syndrome PMID: 22635233
- among Spanish Caucasians, polymorphisms at codon 247 (Val247Leu) do not seem to influence primary antiphospholipid syndrome pathogenesis. PMID: 21240499
- Letter: report breast cancer patient with elevated anti-beta2-glycoprotein I antibody and cerebellar ataxia. PMID: 22427365
- Increased complexes of beta(2)-glycoprotein I with lipoprotein(a)is associated with coronary artery disease. PMID: 22056596
- A review of the role of oxidative stress in beta2-GPI-mediated immune responses. PMID: 21999151
- [REVIEW] function in innate immunity; function of beta(2) -GPI seems to depend on the structural conformation of the protein PMID: 21535391
- role of beta2-GPI in placentation: Data suggest that in some women with habitual miscarriage, antagonism of beta2-GPI by autoantibodies against beta2-GPI suppresses PlGF production in trophoblasts and causes failure of placenta formation/function. PMID: 21501325
顯示更多
收起更多
-
亞細胞定位:Secreted.
-
組織特異性:Expressed by the liver and secreted in plasma.
-
數據庫鏈接:
Most popular with customers
-
-
YWHAB Recombinant Monoclonal Antibody
Applications: ELISA, WB, IHC, IF, FC
Species Reactivity: Human, Mouse, Rat
-
Phospho-YAP1 (S127) Recombinant Monoclonal Antibody
Applications: ELISA, WB, IHC
Species Reactivity: Human
-
-
-
-
-















