APOH
APOH,全稱為beta-2-glycoprotein I,也被稱為載脂蛋白H。該蛋白由APOH基因編碼,主要由肝細胞合成,屬于糖蛋白。APOH蛋白具有多種別名,包括BG、B2G1等。APOH蛋白在人體中發揮著多種生理功能,如結合磷脂、肝素、磷脂和硫酸葡聚糖等帶負電荷的物質。它參與凝血過程,可改變ADP介導的血小板凝集,通過與受損細胞表面的磷脂結合,阻止先天性凝血級聯的激活,表現出抗凝血活性。APOH蛋白的血漿濃度與代謝綜合征的改變和2型糖尿病的血管病變密切相關,被用作評估心血管風險的臨床指標。此外,APOH蛋白還與抗磷脂綜合征、肝梗死等疾病相關。目前,針對APOH蛋白的藥物研發正在積極進行中,例如用于治療抗磷脂綜合征的檢測試劑盒和用于研究肝梗死的動物模型等。
熱銷產品
Recombinant Human Beta-2-glycoprotein 1 (APOH), partial (CSB-EP001939HU1)
驗證數據
(Tris-Glycine gel) Discontinuous SDS-PAGE (reduced) with 5% enrichment gel and 15% separation gel.
APOH Antibody (CSB-PA11079A0Rb)
驗證數據
Western Blot
Positive WB detected in: Rat liver tissue
All lanes: APOH antibody at 3.2μg/ml
Secondary
Goat polyclonal to rabbit IgG at 1/50000 dilution
Predicted band size: 39 kDa
Observed band size: 39 kDa
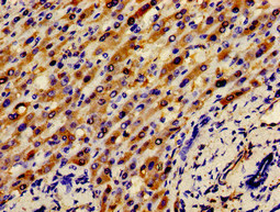
Immunohistochemistry of paraffin-embedded human liver cancer using CSB-PA11079A0Rb at dilution of 1:100
Immunofluorescent analysis of HepG2 cells using CSB-PA11079A0Rb at dilution of 1:100 and Alexa Fluor 488-congugated AffiniPure Goat Anti-Rabbit IgG(H+L)
Human Apolipoprotein H(APOH) ELISA kit (CSB-E08961h)
驗證數據
貨號:CSB-E08961h
規格:96T/48T
靈敏度:3.9 ng/mL
檢測范圍:15.6 ng/mL-1000 ng/mL
These standard curves are provided for demonstration only. A standard curve should be generated for each set of samples assayed.
APOH Antibodies
APOH for Homo sapiens (Human)
| 產品貨號 | 產品名稱 | 種屬反應性 | 應用類型 |
|---|---|---|---|
| CSB-PA001939GA01HU | APOH Antibody | Human | ELISA,WB,IHC |
| CSB-PA795997 | APOH Antibody | Human | ELISA,WB,IHC |
| CSB-PA297198 | APOH Antibody | Human | ELISA,WB,IHC |
| CSB-PA11079A0Rb | APOH Antibody | Human, Rat | ELISA, WB, IHC, IF |
| CSB-PA11079B0Rb | APOH Antibody, HRP conjugated | Human | ELISA |
| CSB-PA11079C0Rb | APOH Antibody, FITC conjugated | Human | |
| CSB-PA11079D0Rb | APOH Antibody, Biotin conjugated | Human | ELISA |
APOH Proteins
APOH Proteins for Bos taurus (Bovine)
| 產品貨號 | 產品名稱 | 來源 |
|---|---|---|
| CSB-YP001939BO CSB-EP001939BO CSB-BP001939BO CSB-MP001939BO CSB-EP001939BO-B |
Recombinant Bovine Beta-2-glycoprotein 1 (APOH) | Yeast E.coli Baculovirus Mammalian cell In Vivo Biotinylation in E.coli |
APOH Proteins for Rattus norvegicus (Rat)
| 產品貨號 | 產品名稱 | 來源 |
|---|---|---|
| CSB-YP001939RA CSB-EP001939RA CSB-BP001939RA CSB-MP001939RA CSB-EP001939RA-B |
Recombinant Rat Beta-2-glycoprotein 1 (Apoh) | Yeast E.coli Baculovirus Mammalian cell In Vivo Biotinylation in E.coli |
APOH Proteins for Canis familiaris (Dog) (Canis lupus familiaris)
| 產品貨號 | 產品名稱 | 來源 |
|---|---|---|
| CSB-YP001939DO CSB-EP001939DO CSB-BP001939DO CSB-MP001939DO CSB-EP001939DO-B |
Recombinant Dog Beta-2-glycoprotein 1 (APOH) | Yeast E.coli Baculovirus Mammalian cell In Vivo Biotinylation in E.coli |
APOH Proteins for Homo sapiens (Human)
| 產品貨號 | 產品名稱 | 來源 |
|---|---|---|
| CSB-YP001939HU CSB-EP001939HU CSB-BP001939HU CSB-MP001939HU CSB-EP001939HU-B |
Recombinant Human Beta-2-glycoprotein 1 (APOH) | Yeast E.coli Baculovirus Mammalian cell In Vivo Biotinylation in E.coli |
| CSB-EP001939HU1 | Recombinant Human Beta-2-glycoprotein 1 (APOH), partial | E.coli |
APOH Proteins for Pan troglodytes (Chimpanzee)
| 產品貨號 | 產品名稱 | 來源 |
|---|---|---|
| CSB-YP836100EQV CSB-EP836100EQV CSB-BP836100EQV CSB-MP836100EQV CSB-EP836100EQV-B |
Recombinant Pan troglodytes Beta-2-glycoprotein 1 (APOH) | Yeast E.coli Baculovirus Mammalian cell In Vivo Biotinylation in E.coli |
APOH ELISA Kit
APOH ELISA Kit for Mus musculus (Mouse)
| 產品貨號 | 產品名稱 | 樣本類型 | 靈敏度 |
|---|---|---|---|
| CSB-E10074m | Mouse apolipoprotein H (Apo-H) ELISA Kit | serum, plasma, tissue homogenates | 3.9 ng/mL |
APOH ELISA Kit for Rattus norvegicus (Rat)
| 產品貨號 | 產品名稱 | 樣本類型 | 靈敏度 |
|---|---|---|---|
| CSB-E10073r | Rat apolipoprotein H (Apo-H) ELISA Kit | serum, plasma, tissue homogenates | 7 ng/mL |
APOH ELISA Kit for Homo sapiens (Human)
| 產品貨號 | 產品名稱 | 樣本類型 | 靈敏度 |
|---|---|---|---|
| CSB-E08961h | Human Apolipoprotein H(APOH) ELISA kit | serum, plasma, tissue homogenates | 3.9 ng/mL |






