PPP2R5E Antibody
-
中文名稱:PPP2R5E兔多克隆抗體
-
貨號:CSB-PA619075LA01HU
-
規格:¥440
-
圖片:
-
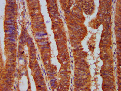
IHC image of CSB-PA619075LA01HU diluted at 1:500 and staining in paraffin-embedded human colon cancer performed on a Leica BondTM system. After dewaxing and hydration, antigen retrieval was mediated by high pressure in a citrate buffer (pH 6.0). Section was blocked with 10% normal goat serum 30min at RT. Then primary antibody (1% BSA) was incubated at 4°C overnight. The primary is detected by a biotinylated secondary antibody and visualized using an HRP conjugated SP system.
-
Immunofluorescence staining of Hela cells with CSB-PA619075LA01HU at 1:166, counter-stained with DAPI. The cells were fixed in 4% formaldehyde, permeabilized using 0.2% Triton X-100 and blocked in 10% normal Goat Serum. The cells were then incubated with the antibody overnight at 4°C. The secondary antibody was Alexa Fluor 488-congugated AffiniPure Goat Anti-Rabbit IgG(H+L).
-
-
其他:
產品詳情
-
產品名稱:Rabbit anti-Homo sapiens (Human) PPP2R5E Polyclonal antibody
-
Uniprot No.:
-
基因名:
-
別名:2A5E_HUMAN antibody; Epsilon isoform of regulatory subunit B56 protein phosphatase 2A antibody; PP2A B subunit B' epsilon antibody; PP2A B subunit B' epsilon isoform antibody; PP2A B subunit B56 epsilon antibody; PP2A B subunit B56 epsilon isoform antibody; PP2A B subunit isoform B''-epsilon antibody; PP2A B subunit isoform B'-epsilon antibody; PP2A B subunit isoform B56-epsilon antibody; PP2A B subunit isoform PR61-epsilon antibody; PP2A B subunit isoform R5-epsilon antibody; PP2A B subunit PR61 epsilon antibody; PP2A B subunit PR61 epsilon isoform antibody; PP2A B subunit R5 epsilon antibody; PP2A B subunit R5 epsilon isoform antibody; PPP2R5E antibody; Protein phosphatase 2 regulatory subunit B (B56) epsilon isoform antibody; Protein phosphatase 2 regulatory subunit B' epsilon antibody; Protein phosphatase 2 regulatory subunit B' epsilon isoform antibody; Regulatory subunit B of protein phosphatase 2 epsilon isoform antibody; Serine/threonine protein phosphatase 2A 56 kDa regulatory subunit epsilon antibody; Serine/threonine-protein phosphatase 2A 56 kDa regulatory subunit epsilon isoform antibody
-
宿主:Rabbit
-
反應種屬:Human
-
免疫原:Recombinant Human Serine/threonine-protein phosphatase 2A 56 kDa regulatory subunit epsilon isoform protein (2-149AA)
-
免疫原種屬:Homo sapiens (Human)
-
標記方式:Non-conjugated
本頁面中的產品,PPP2R5E Antibody (CSB-PA619075LA01HU),的標記方式是Non-conjugated。對于PPP2R5E Antibody,我們還提供其他標記。見下表:
-
克隆類型:Polyclonal
-
抗體亞型:IgG
-
純化方式:>95%, Protein G purified
-
濃度:It differs from different batches. Please contact us to confirm it.
-
保存緩沖液:Preservative: 0.03% Proclin 300
Constituents: 50% Glycerol, 0.01M PBS, pH 7.4 -
產品提供形式:Liquid
-
應用范圍:ELISA, IHC, IF
-
推薦稀釋比:
Application Recommended Dilution IHC 1:500-1:1000 IF 1:50-1:200 -
Protocols:
-
儲存條件:Upon receipt, store at -20°C or -80°C. Avoid repeated freeze.
-
貨期:Basically, we can dispatch the products out in 1-3 working days after receiving your orders. Delivery time maybe differs from different purchasing way or location, please kindly consult your local distributors for specific delivery time.
-
用途:For Research Use Only. Not for use in diagnostic or therapeutic procedures.
相關產品
靶點詳情
-
功能:The B regulatory subunit might modulate substrate selectivity and catalytic activity, and also might direct the localization of the catalytic enzyme to a particular subcellular compartment.
-
基因功能參考文獻:
- results suggest that the PPP2R5E phosphatase may contribute to microtubule organization by stabilizing MTCL1. PMID: 27521566
- PP2A holoenzyme containing B56 is responsible for the dephosphorylation of gamma-H2AX and regulation of DNA repair of double strand breaks induced by camptothecin. PMID: 25772433
- the significance of miR-23a and PPP2R5E in the proliferation and apoptosis of gastric cancer cells PMID: 24997345
- Downregulation of PPP2R5E affects the oncogenic potential of leukemic cells. PMID: 23812941
- identified the phosphorylation of hSgo2 by Aurora B at the N-terminal coiled-coil region and the middle region, and showed that these phosphorylations separately promote binding of hSgo2 to PP2A and MCAK PMID: 20889715
- The PPP2R5E gene is identified as harboring genetic variants that can affect human cancer and are possibly under evolutionary selection pressure. PMID: 19773383
顯示更多
收起更多
-
亞細胞定位:Cytoplasm.
-
蛋白家族:Phosphatase 2A regulatory subunit B56 family
-
數據庫鏈接:
Most popular with customers
-
-
YWHAB Recombinant Monoclonal Antibody
Applications: ELISA, WB, IHC, IF, FC
Species Reactivity: Human, Mouse, Rat
-
Phospho-YAP1 (S127) Recombinant Monoclonal Antibody
Applications: ELISA, WB, IHC
Species Reactivity: Human
-
-
-
-
-















