PPP2R5E Recombinant Monoclonal Antibody
-
中文名稱:PPP2R5E Recombinant Monoclonal Antibody
-
貨號:CSB-RA834341A0HU
-
規格:¥1320
-
圖片:
-
Western Blot
Positive WB detected in: U-251MG whole cell lysate(30μg), HEK293 whole cell lysate(30μg), COLO-205 whole cell lysate(30μg), Hela whole cell lysate(30μg), PC-3 whole cell lysate(30μg), MCF-7 whole cell lysate(30μg), NIH/3T3 whole cell lysate(30μg)
All lanes: PPP2R5E polymerase beta antibody at 1:1000
Secondary
Goat polyclonal to rabbit IgG at 1/40000 dilution
Predicted band size: 55 kDa
Observed band size: 50 kDa
Exposure time:3min -
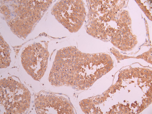
IHC image of CSB-RA834341A0HU diluted at 1:100 and staining in paraffin-embedded human lung cancer performed on a Leica BondTM system. After dewaxing and hydration, antigen retrieval was mediated by high pressure in a citrate buffer (pH 6.0). Section was blocked with 10% normal goat serum 30min at RT. Then primary antibody (1% BSA) was incubated at 4°C overnight. The primary is detected by a Goat anti-rabbit polymer IgG labeled by HRP and visualized using 0.05% DAB.
-
IHC image of CSB-RA834341A0HU diluted at 1:100 and staining in paraffin-embedded human testis tissue performed on a Leica BondTM system. After dewaxing and hydration, antigen retrieval was mediated by high pressure in a citrate buffer (pH 6.0). Section was blocked with 10% normal goat serum 30min at RT. Then primary antibody (1% BSA) was incubated at 4°C overnight. The primary is detected by a Goat anti-rabbit polymer IgG labeled by HRP and visualized using 0.05% DAB.
-
Overlay Peak curve showing Hela cells stained with CSB-RA834341A0HU (red line) at 1:100. The cells were fixed in 4% formaldehyde and permeated by 0.2% TritonX-100 for 10min. Then 10% normal goat serum to block non-specific protein-protein interactions followed by the antibody (1ug/1*106cells) for 45min at 4℃. The secondary antibody used was FITC-conjugated goat anti-rabbit IgG (H+L) at 1/200 dilution for 35min at 4℃.Control antibody (green line) was Rabbit IgG (1ug/1*106cells) used under the same conditions. Acquisition of >10,000 events was performed.
-
-
其他:
產品詳情
-
Uniprot No.:
-
基因名:
-
別名:Serine/threonine-protein phosphatase 2A 56 kDa regulatory subunit epsilon isoform (PP2A B subunit isoform B'-epsilon) (PP2A B subunit isoform B56-epsilon) (PP2A B subunit isoform PR61-epsilon) (PP2A B subunit isoform R5-epsilon), PPP2R5E
-
反應種屬:Human, Mouse
-
免疫原:A synthesized peptide from human PPP2R5E protein
-
免疫原種屬:Homo sapiens (Human)
-
標記方式:Non-conjugated
-
克隆類型:Monoclonal
-
抗體亞型:Rabbit IgG
-
純化方式:Affinity-chromatography
-
克隆號:5B11
-
濃度:It differs from different batches. Please contact us to confirm it.
-
保存緩沖液:Preservative: 0.03% Proclin 300
Constituents: 50% Glycerol, 0.01M PBS, PH 7.4 -
產品提供形式:Liquid
-
應用范圍:ELISA, WB, IHC, FC
-
推薦稀釋比:
Application Recommended Dilution WB 1:500-1:2000 IHC 1:50-1:200 FC 1:50-1:200 -
Protocols:
-
儲存條件:Upon receipt, store at -20°C or -80°C. Avoid repeated freeze.
-
貨期:Basically, we can dispatch the products out in 1-3 working days after receiving your orders. Delivery time maybe differs from different purchasing way or location, please kindly consult your local distributors for specific delivery time.
-
用途:For Research Use Only. Not for use in diagnostic or therapeutic procedures.
相關產品
靶點詳情
-
功能:The B regulatory subunit might modulate substrate selectivity and catalytic activity, and also might direct the localization of the catalytic enzyme to a particular subcellular compartment.
-
基因功能參考文獻:
- results suggest that the PPP2R5E phosphatase may contribute to microtubule organization by stabilizing MTCL1. PMID: 27521566
- PP2A holoenzyme containing B56 is responsible for the dephosphorylation of gamma-H2AX and regulation of DNA repair of double strand breaks induced by camptothecin. PMID: 25772433
- the significance of miR-23a and PPP2R5E in the proliferation and apoptosis of gastric cancer cells PMID: 24997345
- Downregulation of PPP2R5E affects the oncogenic potential of leukemic cells. PMID: 23812941
- identified the phosphorylation of hSgo2 by Aurora B at the N-terminal coiled-coil region and the middle region, and showed that these phosphorylations separately promote binding of hSgo2 to PP2A and MCAK PMID: 20889715
- The PPP2R5E gene is identified as harboring genetic variants that can affect human cancer and are possibly under evolutionary selection pressure. PMID: 19773383
顯示更多
收起更多
-
亞細胞定位:Cytoplasm.
-
蛋白家族:Phosphatase 2A regulatory subunit B56 family
-
數據庫鏈接:
Most popular with customers
-
-
YWHAB Recombinant Monoclonal Antibody
Applications: ELISA, WB, IHC, IF, FC
Species Reactivity: Human, Mouse, Rat
-
Phospho-YAP1 (S127) Recombinant Monoclonal Antibody
Applications: ELISA, WB, IHC
Species Reactivity: Human
-
-
-
-
-















