PRG2 Antibody
-
中文名稱:PRG2兔多克隆抗體
-
貨號:CSB-PA018670LA01HU
-
規格:¥880
-
圖片:
-
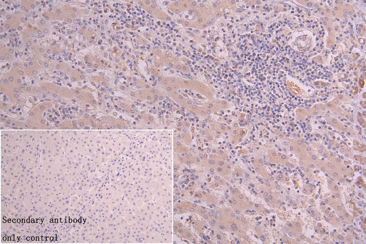
IHC image of CSB-PA018670LA01HU diluted at 1:66 and staining in paraffin-embedded human liver cancer performed on a Leica BondTM system. After dewaxing and hydration, antigen retrieval was mediated by high pressure in a citrate buffer (pH 6.0). Section was blocked with 10% normal goat serum 30min at RT. Then primary antibody (1% BSA) was incubated at 4°C overnight. The primary is detected by a Goat anti-rabbit polymer IgG labeled by HRP and visualized using 0.05% DAB. Secondary antibody only control: uses 1% BSA instead of primary antibody
-
IHC image of CSB-PA018670LA01HU diluted at 1:66 and staining in paraffin-embedded human breast cancer performed on a Leica BondTM system. After dewaxing and hydration, antigen retrieval was mediated by high pressure in a citrate buffer (pH 6.0). Section was blocked with 10% normal goat serum 30min at RT. Then primary antibody (1% BSA) was incubated at 4°C overnight. The primary is detected by a Goat anti-rabbit polymer IgG labeled by HRP and visualized using 0.05% DAB. Secondary antibody only control: uses 1% BSA instead of primary antibody
-
Western Blot
Positive WB detected in: Mouse spleen tissue lysate,Rat spleen tissue lysate
All lanes: PRG2 antibody at 1:1000
Secondary
Goat polyclonal to rabbit IgG at 1/50000 dilution
Predicted band size: 25, 28 kDa
Observed band size: 28 kDa
-
-
其他:
產品詳情
-
產品名稱:Rabbit anti-Homo sapiens (Human) PRG2 Polyclonal antibody
-
Uniprot No.:
-
基因名:PRG2
-
別名:PRG2; MBP; Bone marrow proteoglycan; BMPG; Proteoglycan 2
-
宿主:Rabbit
-
反應種屬:Human, Mouse
-
免疫原:Recombinant Human Bone marrow proteoglycan protein (151-195AA)
-
免疫原種屬:Homo sapiens (Human)
-
標記方式:Non-conjugated
本頁面中的產品,PRG2 Antibody (CSB-PA018670LA01HU),的標記方式是Non-conjugated。對于PRG2 Antibody,我們還提供其他標記。見下表:
-
克隆類型:Polyclonal
-
抗體亞型:IgG
-
純化方式:Antigen affinity purification
-
濃度:It differs from different batches. Please contact us to confirm it.
-
保存緩沖液:Preservative:? 0.05% NaN3
Constituents:?PBS?containing?40%?glycerol pH7.4 -
產品提供形式:Liquid
-
應用范圍:ELISA, WB, IHC
-
推薦稀釋比:
Application Recommended Dilution WB 1:1000-1:5000 IHC 1:50-1:000 -
Protocols:
-
儲存條件:Upon receipt, store at -20°C or -80°C. Avoid repeated freeze.
-
貨期:Basically, we can dispatch the products out in 1-3 working days after receiving your orders. Delivery time maybe differs from different purchasing way or location, please kindly consult your local distributors for specific delivery time.
-
用途:For Research Use Only. Not for use in diagnostic or therapeutic procedures.
相關產品
靶點詳情
-
功能:Cytotoxin and helminthotoxin. Also induces non-cytolytic histamine release from human basophils. Involved in antiparasitic defense mechanisms and immune hypersensitivity reactions. The proform acts as a proteinase inhibitor, reducing the activity of PAPPA.
-
基因功能參考文獻:
- Low PRG2 expression is associated with drug resistance in Chronic myeloid leukemia. PMID: 29936783
- MBP-1 aggregation is important for innate immunity and immunopathology mediated by eosinophils.MBP-1 toxicity is restrained via crystallization in eosinophil secretory granules. PMID: 25728769
- free protein in nasal mucus can be used as a biomarker to diagnose chronic rhinosinusitis PMID: 25266917
- mRNA levels of eosinophil granule proteins, rather than sputum eosinophil%, may reflect airway hyperresponsiveness and airflow limitation. PMID: 24814827
- This protein contains a peptide that displays strong antibacterial activity against Gram-positive bacteria, Gram-negative bacteria, and fungi. PMID: 319906
- Eosinophil major basic protein activates human cord blood mast cells primed with fibroblast membranes by integrin-beta1. PMID: 24112102
- During pregnancy, the proform of eosinophil major basic protein-angiotensinogen constitutes the major form in late pregnancy. PMID: 23033876
- Combinations of respiratory syncytial virus and MBP synergistically induced cell death in pulmonary alveolar epithelial cells (A549). PMID: 20977431
- The expression of MBP in nasal mucus obtained from chronic rhinosinusitispatients was obviously higher than that of nasal mucus obtained from controls. PMID: 18720885
- MBP and NE collaborated to cause the pathological effects of nasal polyps. PMID: 18476621
- novel transcript was alternatively transcribed from intron III of the ENO1 gene and was feasible for MBP-1 production PMID: 20849415
- The proMBP is a novel first trimester serum marker for adverse pregnancy outcome. PMID: 19626619
- Transcription is regulated by novel combinatorial interactions of GATA-1, PU.1, and C/EBPepsilon isoforms. PMID: 12202480
- IGF bioactivity is regulated by reversible cell surface binding of PAPP-A, which in turn is regulated by proMBP PMID: 12370176
- MBP's structure is described, and its ability to bind to pregnancy-associated plasma protein A explained PMID: 12421832
- Deposits of eosinophilic MBP are found on the surface of eosinophils and damaged muscle fibers surrounded by eosinophils in patients with idiopathic eosinophilic myositis. PMID: 12534990
- MBP stimulates a Src kinase-dependent activation of class I(A) phosphoinositide 3-kinase and, in turn, activation of protein kinase C zeta in neutrophils, which contributes to the activation of NADPH oxidase and resultant superoxide production. PMID: 14500673
- Proform of MPB forms a covalent complex with PAPPA in which PAPPA is inhibited. PMID: 14988014
- the proform of eosinophil major basic protein inhibits the proteolytic activity of PAPP-A PMID: 15647258
- two regions shown previously to contain the cytotoxic and cytostimulatory properties of MBP are accessible for ligand interaction in cell surface-bound MBP PMID: 16940047
- Compared to MBP1, which is present in eosinophils, basophils, and a human mast cell line, homologous MBP2 is present only in eosinophils and may be a useful biomarker for eosinophil-associated diseases. PMID: 17082653
- Pregnancy-associated plasma protein A is involved in processes preceding vulnerable plaque development in acute coronary syndrome. PMID: 17223728
- knockdown of endogenous MBP-1 is involved in cellular senescence of HFF through p53-p21 pathway. PMID: 18852884
- No variation in genes major basic protein for Atopic dermatitis pathogenesis in this German cohort PMID: 19014520
- The significantly elevated levels of proMBP in myelofibrosis patients implies that proMBP could be an important stromal cytokine in bone marrow fibrosis. PMID: 19039208
- addition to granule-stored MBP, even unstimulated eosinophils contained appreciable amounts of MBP within secretory vesicles PMID: 19398958
顯示更多
收起更多
-
亞細胞定位:[Bone marrow proteoglycan]: Secreted. Note=The proform is secreted.; [Eosinophil granule major basic protein]: Cytoplasmic vesicle, secretory vesicle. Note=The proform is secreted. The mature protein is found in the matrix of the eosinophil's large specific granule (crystalloid core).
-
組織特異性:High levels of the proform in placenta and pregnancy serum; in placenta, localized to X cells of septa and anchoring villi. Lower levels in a variety of other tissues including kidney, myometrium, endometrium, ovaries, breast, prostate, bone marrow and co
-
數據庫鏈接:
Most popular with customers
-
-
YWHAB Recombinant Monoclonal Antibody
Applications: ELISA, WB, IHC, IF, FC
Species Reactivity: Human, Mouse, Rat
-
Phospho-YAP1 (S127) Recombinant Monoclonal Antibody
Applications: ELISA, WB, IHC
Species Reactivity: Human
-
-
-
-
-















