RAB26 Antibody
-
中文名稱:RAB26兔多克隆抗體
-
貨號:CSB-PA990609
-
規格:¥1100
-
圖片:
-
The image on the left is immunohistochemistry of paraffin-embedded Human thyroid cancer tissue using CSB-PA990609(RAB26 Antibody) at dilution 1/80, on the right is treated with synthetic peptide. (Original magnification: ×200)
-
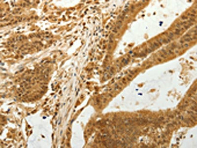
The image on the left is immunohistochemistry of paraffin-embedded Human colon cancer tissue using CSB-PA990609(RAB26 Antibody) at dilution 1/80, on the right is treated with synthetic peptide. (Original magnification: ×200)
-
Gel: 12%SDS-PAGE, Lysate: 40 μg, Lane 1-2: MCF7 cells, A375 cells, Primary antibody: CSB-PA990609(RAB26 Antibody) at dilution 1/270, Secondary antibody: Goat anti rabbit IgG at 1/8000 dilution, Exposure time: 5 seconds
-
-
其他:
產品詳情
-
Uniprot No.:
-
基因名:RAB26
-
別名:CATX-8 antibody; RAB11c antibody; Rab26 antibody; RAB26 member RAS oncogene family antibody; RAB26_HUMAN antibody; Ras related oncogene protein antibody; Ras related protein Rab 26 antibody; Ras-associated protein Rab26 antibody; Ras-related protein Rab-26 antibody; V46133 antibody
-
宿主:Rabbit
-
反應種屬:Human,Mouse,Rat
-
免疫原:Synthetic peptide of Human RAB26
-
免疫原種屬:Homo sapiens (Human)
-
標記方式:Non-conjugated
-
抗體亞型:IgG
-
純化方式:Antigen affinity purification
-
濃度:It differs from different batches. Please contact us to confirm it.
-
保存緩沖液:-20°C, pH7.4 PBS, 0.05% NaN3, 40% Glycerol
-
產品提供形式:Liquid
-
應用范圍:ELISA,WB,IHC
-
推薦稀釋比:
Application Recommended Dilution ELISA 1:1000-1:2000 WB 1:200-1:1000 IHC 1:100-1:300 -
Protocols:
-
儲存條件:Upon receipt, store at -20°C or -80°C. Avoid repeated freeze.
-
貨期:Basically, we can dispatch the products out in 1-3 working days after receiving your orders. Delivery time maybe differs from different purchasing way or location, please kindly consult your local distributors for specific delivery time.
-
用途:For Research Use Only. Not for use in diagnostic or therapeutic procedures.
相關產品
靶點詳情
-
功能:The small GTPases Rab are key regulators of intracellular membrane trafficking, from the formation of transport vesicles to their fusion with membranes. Rabs cycle between an inactive GDP-bound form and an active GTP-bound form that is able to recruit to membranes different set of downstream effectors directly responsible for vesicle formation, movement, tethering and fusion. Mediates transport of ADRA2A and ADRA2B from the Golgi to the cell membrane. Plays a role in the maturation of zymogenic granules and in pepsinogen secretion in the stomach. Plays a role in the secretion of amylase from acinar granules in the parotid gland.
-
基因功能參考文獻:
- Rab26 selectively directs synaptic and secretory vesicles into preautophagosomal structures. PMID: 25643395
- Increased RAB26 expression causes lysosomes to coalesce in a central, perinuclear region within the cell. PMID: 24413166
- The small GTPase Rab26 regulates the Golgi to cell surface traffic of alpha(2)-adrenergic receptors, likely through a physical interaction. PMID: 23105096
- MIST1 binds to highly conserved CATATG E-boxes to directly activate transcription of 6 genes, including those encoding the small GTPases RAB26 and RAB3D. PMID: 20038531
-
亞細胞定位:Golgi apparatus membrane; Lipid-anchor; Cytoplasmic side. Cytoplasmic vesicle, secretory vesicle membrane; Lipid-anchor; Cytoplasmic side.
-
蛋白家族:Small GTPase superfamily, Rab family
-
組織特異性:Predominantly expressed in brain.
-
數據庫鏈接:
Most popular with customers
-
-
YWHAB Recombinant Monoclonal Antibody
Applications: ELISA, WB, IHC, IF, FC
Species Reactivity: Human, Mouse, Rat
-
Phospho-YAP1 (S127) Recombinant Monoclonal Antibody
Applications: ELISA, WB, IHC
Species Reactivity: Human
-
-
-
-
-















