RAB26 Antibody
-
中文名稱:RAB26兔多克隆抗體
-
貨號:CSB-PA892347LA01HU
-
規格:¥440
-
圖片:
-
Western Blot
Positive WB detected in: Rat liver tissue
All lanes: RAB26 antibody at 5.9μg/ml
Secondary
Goat polyclonal to rabbit IgG at 1/50000 dilution
Predicted band size: 28, 22 kDa
Observed band size: 28 kDa -
IHC image of CSB-PA892347LA01HU diluted at 1:200 and staining in paraffin-embedded human brain tissue performed on a Leica BondTM system. After dewaxing and hydration, antigen retrieval was mediated by high pressure in a citrate buffer (pH 6.0). Section was blocked with 10% normal goat serum 30min at RT. Then primary antibody (1% BSA) was incubated at 4°C overnight. The primary is detected by a biotinylated secondary antibody and visualized using an HRP conjugated SP system.
-
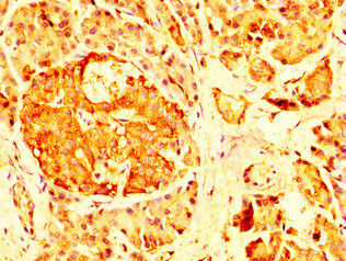
IHC image of CSB-PA892347LA01HU diluted at 1:200 and staining in paraffin-embedded human pancreatic tissue performed on a Leica BondTM system. After dewaxing and hydration, antigen retrieval was mediated by high pressure in a citrate buffer (pH 6.0). Section was blocked with 10% normal goat serum 30min at RT. Then primary antibody (1% BSA) was incubated at 4°C overnight. The primary is detected by a biotinylated secondary antibody and visualized using an HRP conjugated SP system.
-
-
其他:
產品詳情
-
產品名稱:Rabbit anti-Homo sapiens (Human) RAB26 Polyclonal antibody
-
Uniprot No.:
-
基因名:RAB26
-
別名:CATX-8 antibody; RAB11c antibody; Rab26 antibody; RAB26 member RAS oncogene family antibody; RAB26_HUMAN antibody; Ras related oncogene protein antibody; Ras related protein Rab 26 antibody; Ras-associated protein Rab26 antibody; Ras-related protein Rab-26 antibody; V46133 antibody
-
宿主:Rabbit
-
反應種屬:Human, Rat
-
免疫原:Recombinant Human Ras-related protein Rab-26 protein (1-58AA)
-
免疫原種屬:Homo sapiens (Human)
-
標記方式:Non-conjugated
本頁面中的產品,RAB26 Antibody (CSB-PA892347LA01HU),的標記方式是Non-conjugated。對于RAB26 Antibody,我們還提供其他標記。見下表:
-
克隆類型:Polyclonal
-
抗體亞型:IgG
-
純化方式:>95%, Protein G purified
-
濃度:It differs from different batches. Please contact us to confirm it.
-
保存緩沖液:Preservative: 0.03% Proclin 300
Constituents: 50% Glycerol, 0.01M PBS, pH 7.4 -
產品提供形式:Liquid
-
應用范圍:ELISA, WB, IHC
-
推薦稀釋比:
Application Recommended Dilution WB 1:500-1:5000 IHC 1:20-1:200 -
Protocols:
-
儲存條件:Upon receipt, store at -20°C or -80°C. Avoid repeated freeze.
-
貨期:Basically, we can dispatch the products out in 1-3 working days after receiving your orders. Delivery time maybe differs from different purchasing way or location, please kindly consult your local distributors for specific delivery time.
-
用途:For Research Use Only. Not for use in diagnostic or therapeutic procedures.
相關產品
靶點詳情
-
功能:The small GTPases Rab are key regulators of intracellular membrane trafficking, from the formation of transport vesicles to their fusion with membranes. Rabs cycle between an inactive GDP-bound form and an active GTP-bound form that is able to recruit to membranes different set of downstream effectors directly responsible for vesicle formation, movement, tethering and fusion. Mediates transport of ADRA2A and ADRA2B from the Golgi to the cell membrane. Plays a role in the maturation of zymogenic granules and in pepsinogen secretion in the stomach. Plays a role in the secretion of amylase from acinar granules in the parotid gland.
-
基因功能參考文獻:
- Rab26 selectively directs synaptic and secretory vesicles into preautophagosomal structures. PMID: 25643395
- Increased RAB26 expression causes lysosomes to coalesce in a central, perinuclear region within the cell. PMID: 24413166
- The small GTPase Rab26 regulates the Golgi to cell surface traffic of alpha(2)-adrenergic receptors, likely through a physical interaction. PMID: 23105096
- MIST1 binds to highly conserved CATATG E-boxes to directly activate transcription of 6 genes, including those encoding the small GTPases RAB26 and RAB3D. PMID: 20038531
-
亞細胞定位:Golgi apparatus membrane; Lipid-anchor; Cytoplasmic side. Cytoplasmic vesicle, secretory vesicle membrane; Lipid-anchor; Cytoplasmic side.
-
蛋白家族:Small GTPase superfamily, Rab family
-
組織特異性:Predominantly expressed in brain.
-
數據庫鏈接:
Most popular with customers
-
-
YWHAB Recombinant Monoclonal Antibody
Applications: ELISA, WB, IHC, IF, FC
Species Reactivity: Human, Mouse, Rat
-
Phospho-YAP1 (S127) Recombinant Monoclonal Antibody
Applications: ELISA, WB, IHC
Species Reactivity: Human
-
-
-
-
-















