ABAT Recombinant Monoclonal Antibody
-
中文名稱:ABAT重組抗體
-
貨號:CSB-RA242969A0HU
-
規格:¥1320
-
圖片:
-
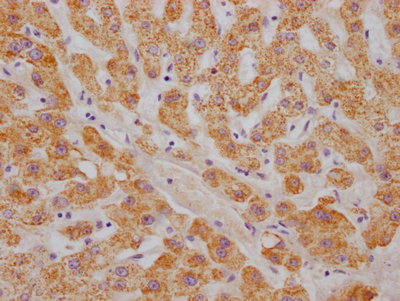
IHC image of CSB-RA242969A0HU diluted at 1:100 and staining in paraffin-embedded human liver tissue performed on a Leica BondTM system. After dewaxing and hydration, antigen retrieval was mediated by high pressure in a citrate buffer (pH 6.0). Section was blocked with 10% normal goat serum 30min at RT. Then primary antibody (1% BSA) was incubated at 4℃ overnight. The primary is detected by a Goat anti-rabbit IgG polymer labeled by HRP and visualized using 0.05% DAB.
-
-
其他:
產品詳情
-
產品描述:ABAT Recombinant Monoclonal Antibody(Code: CSB-RA242969A0HU)是針對γ-氨基丁酸轉氨酶(ABAT)開發的高特異性抗體,適用于酶聯免疫吸附實驗(ELISA)和免疫組化(IHC)檢測。ABAT是GABA代謝通路中的關鍵酶,負責催化γ-氨基丁酸轉化為琥珀酸半醛,在維持神經遞質平衡和中樞神經系統功能中發揮重要作用。本抗體通過重組技術制備,具有優異的批間一致性和低交叉反應性,經多種實驗驗證可特異性識別天然及重組ABAT蛋白。在IHC實驗中,推薦使用1:50至1:200的稀釋比例,能夠清晰顯示組織樣本中ABAT的定位與表達水平,適用于神經生物學研究、代謝相關疾病模型的蛋白表達分析以及神經退行性疾病機制探索等科研領域。該產品為研究者提供可靠的工具,可用于探究ABAT在神經信號調控、能量代謝和病理狀態中的分子作用,但不適用于臨床診斷或治療用途。
-
Uniprot No.:
-
基因名:
-
別名:4-aminobutyrate aminotransferase, mitochondrial (EC 2.6.1.19) ((S)-3-amino-2-methylpropionate transaminase) (EC 2.6.1.22) (GABA aminotransferase) (GABA-AT) (Gamma-amino-N-butyrate transaminase) (GABA transaminase) (GABA-T) (L-AIBAT), ABAT, GABAT
-
反應種屬:Human
-
免疫原:A synthesized peptide derived from human ABAT
-
免疫原種屬:Homo sapiens (Human)
-
標記方式:Non-conjugated
-
克隆類型:Monoclonal
-
抗體亞型:Rabbit IgG
-
純化方式:Affinity-chromatography
-
克隆號:5B6
-
濃度:It differs from different batches. Please contact us to confirm it.
-
保存緩沖液:Rabbit IgG in 10mM phosphate buffered saline , pH 7.4, 150mM sodium chloride, 0.05% BSA, 0.02% sodium azide and 50% glycerol.
-
產品提供形式:Liquid
-
應用范圍:ELISA, IHC
-
推薦稀釋比:
Application Recommended Dilution IHC 1:50-1:200 -
Protocols:
-
儲存條件:Upon receipt, store at -20°C or -80°C. Avoid repeated freeze.
-
貨期:Basically, we can dispatch the products out in 1-3 working days after receiving your orders. Delivery time maybe differs from different purchasing way or location, please kindly consult your local distributors for specific delivery time.
-
用途:For Research Use Only. Not for use in diagnostic or therapeutic procedures.
相關產品
靶點詳情
-
功能:Catalyzes the conversion of gamma-aminobutyrate and L-beta-aminoisobutyrate to succinate semialdehyde and methylmalonate semialdehyde, respectively. Can also convert delta-aminovalerate and beta-alanine.
-
基因功能參考文獻:
- This study utilized ER+ IBC to identify a metagene including ABAT and STC2 as predictive biomarkers for endocrine therapy resistance. PMID: 25771305
- A-to-G transition at nucleotide 754 of the human ABAT gene identified in lymphoblast cDNA (c.754A>G) results in substitution of an invariant arginine at amino acid 220 by lysine (p.Arg220Lys). This point mutation results in destabilization of the binding of pyridoxal-5'-phosphate to GABA-transaminase (required for transamination of GABA to succinic semialdehyde) and thus results in GABA-transaminase deficiency. PMID: 25485164
- Findings point to a possible role of ABAT gene-regulated GABA catabolism for an altered processing of somatosensory stimuli as a potential vulnerability marker for affective disorders. PMID: 22225676
- direct involvement of ABAT in pathways affecting lower esophageal sphincter (LES) control in gastro esophageal reflux disease PMID: 21552517
- Observational study and genome-wide association study of gene-disease association. (HuGE Navigator) PMID: 20659789
- excessive prenatal GABA exposure in the central nervous system (CNS) is responsible for the clinical manifestations of GABA transaminase deficiency [case report] PMID: 20052547
- Marked differences in platelet uptake of GABA and activity of catabolic enzyme GABA-T between patients with generalized and localization-related epileptic syndromes. May indicate an impairment in function of brain GABAergic systems. PMID: 12694932
- results suggest that the Cys321 residue is essential for the catalytic function of GABAT, and that it is involved in the formation of a disulfide link between two monomers of human brain GABAT PMID: 15528998
- lysine 357 is essential for catalytic function of brain GABA transaminase, and is involved in binding PLP at the active site PMID: 15650327
- Analysis of the autistic disorder susceptibility locus suggests an association on chromosome 16p between GRIN2A and ABAT. PMID: 15830322
顯示更多
收起更多
-
相關疾病:GABA transaminase deficiency (GABATD)
-
亞細胞定位:Mitochondrion matrix.
-
蛋白家族:Class-III pyridoxal-phosphate-dependent aminotransferase family
-
組織特異性:Liver > pancreas > brain > kidney > heart > placenta.
-
數據庫鏈接:
Most popular with customers
-
-
YWHAB Recombinant Monoclonal Antibody
Applications: ELISA, WB, IHC, IF, FC
Species Reactivity: Human, Mouse, Rat
-
Phospho-YAP1 (S127) Recombinant Monoclonal Antibody
Applications: ELISA, WB, IHC
Species Reactivity: Human
-
-
-
-
-















