JAK1 Recombinant Monoclonal Antibody
-
中文名稱:JAK1重組抗體
-
貨號:CSB-RA227790A0HU
-
規格:¥1320
-
圖片:
-
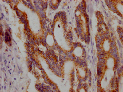
IHC image of CSB-RA227790A0HU diluted at 1:100 and staining in paraffin-embedded human colon cancer performed on a Leica BondTM system. After dewaxing and hydration, antigen retrieval was mediated by high pressure in a citrate buffer (pH 6.0). Section was blocked with 10% normal goat serum 30min at RT. Then primary antibody (1% BSA) was incubated at 4℃ overnight. The primary is detected by a Goat anti-rabbit IgG polymer labeled by HRP and visualized using 0.05% DAB.
-
-
其他:
產品詳情
-
產品描述:CSB-RA227790A0HU JAK1重組單克隆抗體是針對Janus激酶1(JAK1)研發的高特異性檢測工具。JAK1作為JAK/STAT信號通路的核心成員,廣泛參與細胞增殖、分化及免疫調節等重要生物學過程,其異常激活與多種炎癥性疾病和腫瘤發生密切相關。本產品經嚴格驗證,適用于ELISA和免疫組化(IHC)實驗,針對石蠟包埋組織切片等樣本類型,在推薦稀釋比例1:50-1:200范圍內可呈現清晰的特異性染色信號,有效識別內源性JAK1蛋白的表達定位。通過重組單克隆抗體技術確保批次間高度一致性,顯著降低非特異性背景干擾。該抗體可作為研究JAK1信號傳導機制的核心試劑,廣泛應用于探索免疫系統調控、炎癥反應通路及腫瘤微環境等科研領域,尤其適用于JAK抑制劑類藥物開發中的靶點驗證實驗,為相關基礎研究提供穩定可靠的檢測支持。
-
Uniprot No.:
-
基因名:
-
別名:Tyrosine-protein kinase JAK1 (EC 2.7.10.2) (Janus kinase 1) (JAK-1), JAK1, JAK1A JAK1B
-
反應種屬:Human
-
免疫原:A synthesized peptide derived from human JAK1
-
免疫原種屬:Homo sapiens (Human)
-
標記方式:Non-conjugated
-
克隆類型:Monoclonal
-
抗體亞型:Rabbit IgG
-
純化方式:Affinity-chromatography
-
克隆號:7A5
-
濃度:It differs from different batches. Please contact us to confirm it.
-
保存緩沖液:Rabbit IgG in 10mM phosphate buffered saline , pH 7.4, 150mM sodium chloride, 0.05% BSA, 0.02% sodium azide and 50% glycerol.
-
產品提供形式:Liquid
-
應用范圍:ELISA, IHC
-
推薦稀釋比:
Application Recommended Dilution IHC 1:50-1:200 -
Protocols:
-
儲存條件:Upon receipt, store at -20°C or -80°C. Avoid repeated freeze.
-
貨期:Basically, we can dispatch the products out in 1-3 working days after receiving your orders. Delivery time maybe differs from different purchasing way or location, please kindly consult your local distributors for specific delivery time.
-
用途:For Research Use Only. Not for use in diagnostic or therapeutic procedures.
相關產品
靶點詳情
-
功能:Tyrosine kinase of the non-receptor type, involved in the IFN-alpha/beta/gamma signal pathway. Kinase partner for the interleukin (IL)-2 receptor as well as interleukin (IL)-10 receptor. Directly phosphorylates STAT but also activates STAT signaling through the transactivation of other JAK kinases associated with signaling receptors.
-
基因功能參考文獻:
- Low-dose radiation decreases tumor progression via the inhibition of the JAK1/STAT3 signaling axis in breast cancer cell lines and in a mouse xenograft model. PMID: 28240233
- Case Report: breast implant-associated anaplastic large cell lymphoma with dual JAK1/STAT3 mutations. PMID: 29637270
- A small drug acting as a JAK1/2 inhibitor may also counteract the repressing effects of IL-6. PMID: 29162613
- These findings clarify JAK1 signalling mechanisms and demonstrate a critical function of JAK1 in protection against mycobacterial infection and possibly the immunological surveillance of cancer. PMID: 28008925
- In the Title. PMID: 27554814
- Study concluded that JAK1 plays a role in the pathogenesis of both vitiligo and psoriasis based on its upregulated level before treatment and downregulated level after treatment. PMID: 29127481
- High JAK1 expression is associated with metastasis of pancreatic ductal adenocarcinoma. PMID: 28677798
- IL6 family cytokine oncostatin-M (OSM) induced a switch to the EMT phenotype and protected cells from targeted drug-induced apoptosis in OSM receptors (OSMRs)/JAK1/STAT3-dependent manner PMID: 28729401
- Amorfrutin A also inhibited activation of the upstream kinases Janus-activated kinase 1 (JAK1), JAK2 and Src signaling pathways. PMID: 28879797
- Jak1 is required for the survival of anaplastic large cell lymphoma.Jak1 mutations in anaplastic large cell lymphoma. PMID: 28356514
- The good consonance between the docking results and CoMFA/CoMSIA contour maps provides helpful clues about the reasonable modification of molecules in order to design more efficient JAK 1 inhibitors. The developed models are expected to provide some directives for further synthesis of highly effective JAK 1 inhibitors. PMID: 28537140
- Here we report a molecular mechanism by which JAK1 contributes to the malignant phenotype of activated B-cell diffuse large B-cell lymphoma (ABC DLBCL). Epigenetic regulation by JAK1 plays a prominent role in the gene expression program of ABC DLBCL cells by phosphorylating chromatin on H3Y41. The chromatin of nearly 3,000 genes had JAK1-dependent H3Y41 phosphorylation marks and required JAK1 for their expression. PMID: 27799566
- miR-30e has a critical role in the suppression of hepatocellular carcinoma (HCC) and presents a novel mechanism of miRNA-mediated JAK1 expression in cancer cells that might be a good prognostic marker for survival of HCC patients. PMID: 28560434
- We demonstrate that impaired recruitment of CD11b(+) myeloid cells with a JAK1/2 inhibitor inhibits glioma progression in vivo and prolongs survival in a murine glioma model. PMID: 28039266
- Whole-exome sequencing on patients with acute lymphoblastic leukemia (ALL) and discovered a somatic JAK1 S646P mutation. Functional studies demonstrated that only JAK1 S646P mutation could activate multiple signaling pathways, drive cytokine-independent cell growth, and promote proliferation of malignant cells in nude mice. PMID: 28410228
- we have identified acquired activating mutations in JAK1 and STAT3 in two cases of effusion-limited BIA-ALCL and identified a possible contribution to disease development from a germline JAK3 variant. PMID: 27198716
- JAK1 mutations are highly frequent in microsatellite unstable endometrial cancer, not associated with survival, but are associated with impaired upregulation of LMP7 and HLA class I and may therefore facilitate immune escape PMID: 27213585
- We found that a significant higher gastric cancer risk was associated with IL-6 rs2069837G variant genotypes and JAK1 rs2230587A variant genotypes PMID: 27049718
- 6-Hydroxy-3-O-methyl-kaempferol 6-O-glucopyranoside potentiated the inhibitory effect of IFN-alpha on hepatocellular carcinoma cell proliferation through activation of the JAK/STAT signaling pathway by inhibiting SOCS3 expression. PMID: 29031523
- JAK1 frameshifts are loss of function alterations that represent a potential pan-cancer adaptation to immune responses against tumors with microsatellite instability PMID: 29121062
- Study provides evidence that JAK1/2 loss-of-function mutations are a genetic mechanism of lack of reactive PD-L1 expression and response to interferon gamma, leading to primary resistance to PD-1 blockade therapy. PMID: 27903500
- This study demonstrates that the nuclear import of JAK1 is essential for the optimal fitness of ABC DLBCL cells. PMID: 28031410
- JAK1 rs11576173 and rs1497056 genotypes were significantly related to severe necroinflammatory activity (NIA) grade of chronic hepatitis C patients. PMID: 28704535
- Multiple myeloma cells over express JAK1/2 and suggest combined chemotherapy with ruxolitinib, bortezomib and lenalidomide to inhibit JAK/STAT pathway. PMID: 28645562
- Mechanistic investigations reveal that AJUBA specifically binds the FERM domain of JAK1 to dissociate JAK1 from the IFNgamma recepter, resulting in an inhibition of STAT1 phosporylation and concomitantly its nuclear translocation. Clinically, the level of AJUBA in CRC specimens is negatively correlated with the levels of IFIT2 and pSTAT1 PMID: 27893714
- Multilevel genomic analyses of microsatellite instability+ colorectal cancer revealed molecular heterogeneity with clinical relevance, including tumor immunogenicity and a favorable patient outcome associated with JAK1 mutations and the transcriptomic subgroup CMS1 PMID: 28539123
- a causal relationship between MLH1-deficiency and incidence of oncogenic point mutations in tyrosine kinases driving cell transformation and acquired resistance to kinase-targeted cancer therapies, is reported. PMID: 27436342
- Data show that moringin (GMG-ITC) had a limited inhibitory effect on IFNalpha-induced STAT1 and STAT2 activity, indicating differentially targeting JAK/STAT signaling pathways. PMID: 27304884
- our studies highlight Jak1 as the first identified substrate for USP6, and they offer a mechanistic rationale for the clinical investigation of Jak and STAT3 inhibitors as therapeutics for the treatment of bone and soft tissue tumors along with other neoplasms driven by USP6 overexpression PMID: 27440725
- In this structure, the receptor peptide forms an 85-A-long extended chain, in which both the previously identified box1 and box2 regions bind simultaneously to the FERM and SH2-like domains of JAK1. PMID: 27725180
- Results reveal the structure of box1 from class II cytokine receptors IFNLR1 and IL10RA bound to the FERM-SH2 domain of human JAK1, identifying a consensus motif for JAK1 interaction. PMID: 27133025
- study demonstrated that miR-9 could inhibit activation of the NLRP3 inflammasome and attenuate atherosclerosis-related inflammation, likely through the JAK1/STAT1 signaling pathway. Therefore, miR-9 may serve as a potential therapeutic target for atherosclerosis. PMID: 28334721
- miR-340 suppressed HCC cell proliferation and invasion by regulating the JAK1/STAT3 pathway PMID: 27998770
- this study identifies a psoriasis-protective JAK1 haplotype in the Korean population PMID: 27774581
- Data show that tight junction protein 1 (TJP1) suppressed expression of the catalytically proteasome subunits LMP7 and LMP2, decreased proteasome activity, and enhanced proteasome inhibitor sensitivity in vitro and in vivo through suppression of EGFR/JAK1/STAT3 signaling. PMID: 27132469
- EGFR Del 19 may promote Fn14 and JAK1/STAT1 expression in NSCLC. PMID: 27350337
- Piperlongumine reduced the phosphorylation of Janus kinase (JAK)1, JAK2 and signal transducer and activator of transcription (STAT)3 in a concentrationdependent manner PMID: 27053336
- JAK1 rs310241 C-related genotype and allele are involved in AR susceptibility, making them potentially useful genetic biomarkers for allergic rhinitis susceptibility in the Chinese Han population. PMID: 27007833
- Data show that astaxanthin functions as a potent inhibitor of A549 lung cancer cell growth by targeting Janus kinase 1 a(JAK1)/STAT3 transcription factor (STAT3) signaling pathway. PMID: 27371847
- Genetic Variation in the JAK1 gene is associated with distal Colonic Disease, Stricturing Disease Behavior. PMID: 26937622
- Activating JAK1 mutation may predict the sensitivity of JAK-STAT inhibition in hepatocellular carcinoma. PMID: 26701727
- Foot-and-mouth disease virus VP3 interacted with JAK1/2, degraded JAK1, and inhibited the tyrosine phosphorylation, dimerization and nuclear accumulation of STAT1. PMID: 26901336
- Data suggest that targeting both TGF-beta and Janus kinase 1 (JAK1) signaling could be explored therapeutically in pancreatic ductal adenocarcinomas (PDACs) patients whose cancers exhibit an angiogenesis gene signature. PMID: 26586478
- When association tests were applied to data from the Diabetes Heart Study, it found exome variants of POMGNT1 and JAK1 genes were associated with type 2 diabetes. PMID: 26783077
- Studies indicate that Janus kinase 1 (JAK1) inhibition leads to depression in inflammatory cytokine expression associated with MF-related constitutional symptoms. PMID: 25586607
- Mutations leading to constitutive active gp130/JAK1/STAT3 pathway. PMID: 26188635
- Increased expression of SgK223 occurs in PDAC, and overexpression of SgK223 in pancreatic ductal epithelial cells promotes acquisition of a migratory and invasive phenotype through enhanced JAK1/Stat3 signaling PMID: 26215634
- Data show that IFN-lambda induced a faster but shorter expression of suppressor of cytokine signaling 1 (SOCS1) which inhibited Janus kinase/signal transducer and activator of transcription (Jak/STAT) pathway and phosphorylation. PMID: 26193702
- Shp-2 contributes to the control of respiratory syncytial virus replication and progeny production in pulmonary alveolar epithelial cells by interfering with IFN-alpha-induced Jak/Stat1 pathway activation PMID: 26119280
- Data show that JAK/STAT signaling inhibition is potentiated by Bcl-xL (B-cell lymphoma-extra large) blockade in interleukin 2 (IL-2) dependent adult T-cell leukemia cells. PMID: 26396258
顯示更多
收起更多
-
亞細胞定位:Endomembrane system; Peripheral membrane protein. Note=Wholly intracellular, possibly membrane associated.
-
蛋白家族:Protein kinase superfamily, Tyr protein kinase family, JAK subfamily
-
組織特異性:Expressed at higher levels in primary colon tumors than in normal colon tissue. The expression level in metastatic colon tumors is comparable to the expression level in normal colon tissue.
-
數據庫鏈接:
Most popular with customers
-
-
YWHAB Recombinant Monoclonal Antibody
Applications: ELISA, WB, IHC, IF, FC
Species Reactivity: Human, Mouse, Rat
-
Phospho-YAP1 (S127) Recombinant Monoclonal Antibody
Applications: ELISA, WB, IHC
Species Reactivity: Human
-
-
-
-
-















